Гіпероксалурія
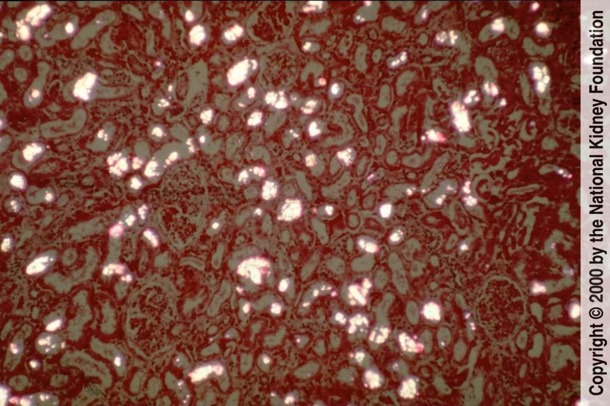
Calcium oxalate crystals precipitate in renal tubules and are easily visible as birefringent and fan- or sheaf-shaped crystals under polarized light (polarized hematoxylin-eosin stain, ×100).
Image provided by Agnes Fogo, MD, and the American Journal of Kidney Diseases' Atlas of Renal Pathology (see www.ajkd.org).
Серед цих тем
