Гінгівіт
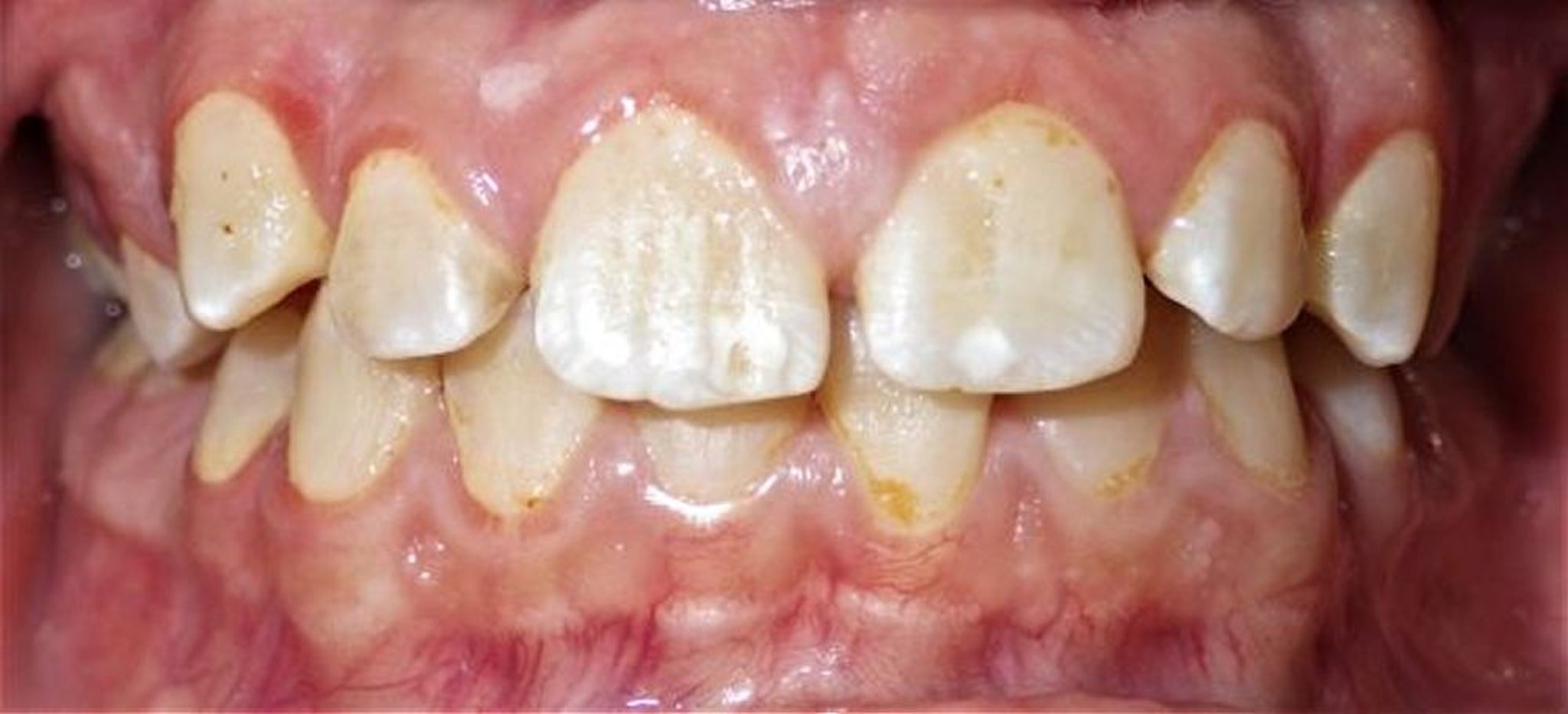
This image of gingivitis in a young person shows inflammation of the marginal gingiva (those closest to the teeth), with swelling of the interdental papillae and inflammation observed along the upper canines.
Image courtesy of James T. Ubertalli, DMD.
Серед цих тем
