Перелом латеральної кісточки
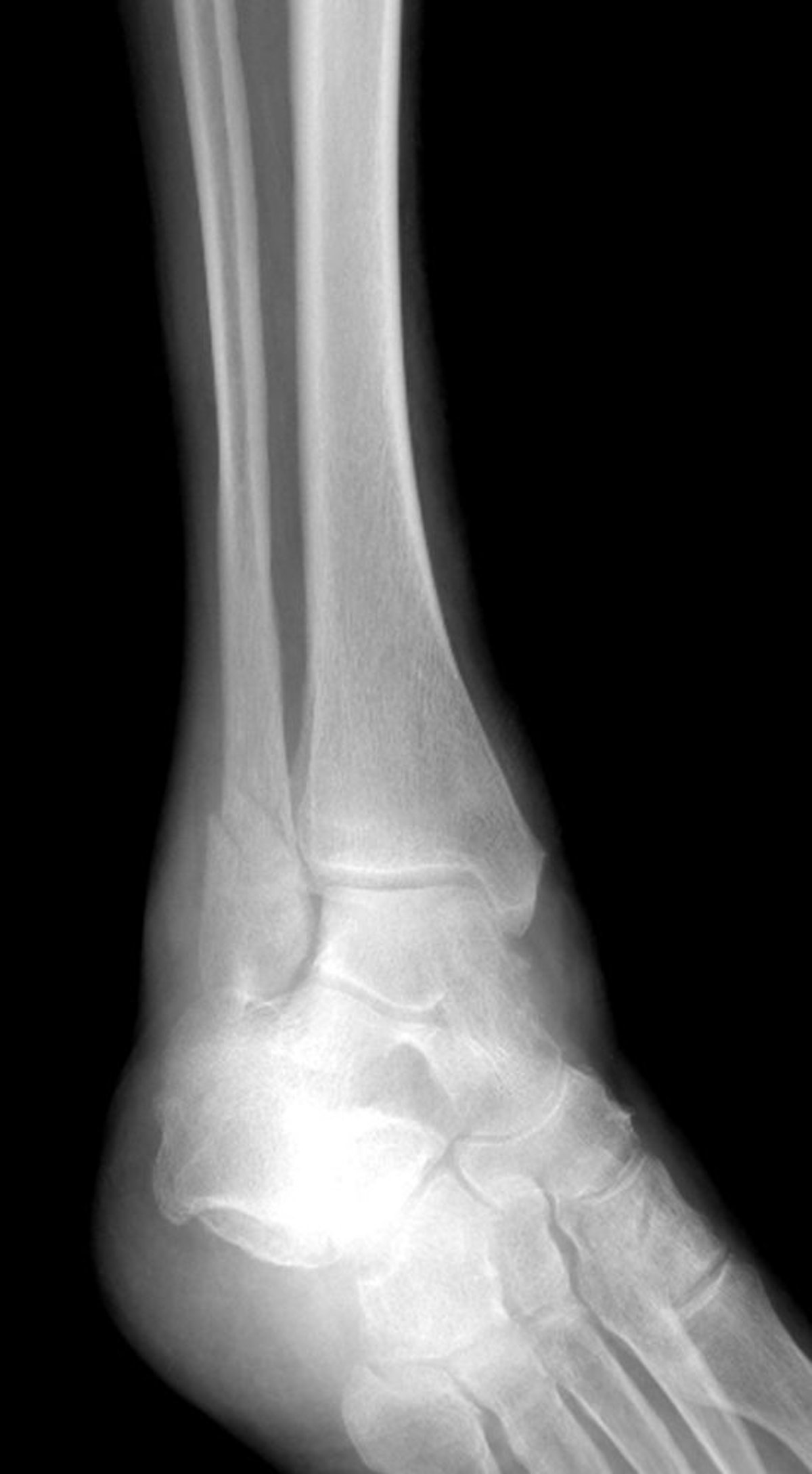
Це перелом латеральної кісточки, але поєднаний із переломом медіальної кісточки.
LIVING ART ENTERPRISES, LLC/НАУКОВА ФОТОБІБЛІОТЕКА
Серед цих тем
Це перелом латеральної кісточки, але поєднаний із переломом медіальної кісточки.
LIVING ART ENTERPRISES, LLC/НАУКОВА ФОТОБІБЛІОТЕКА