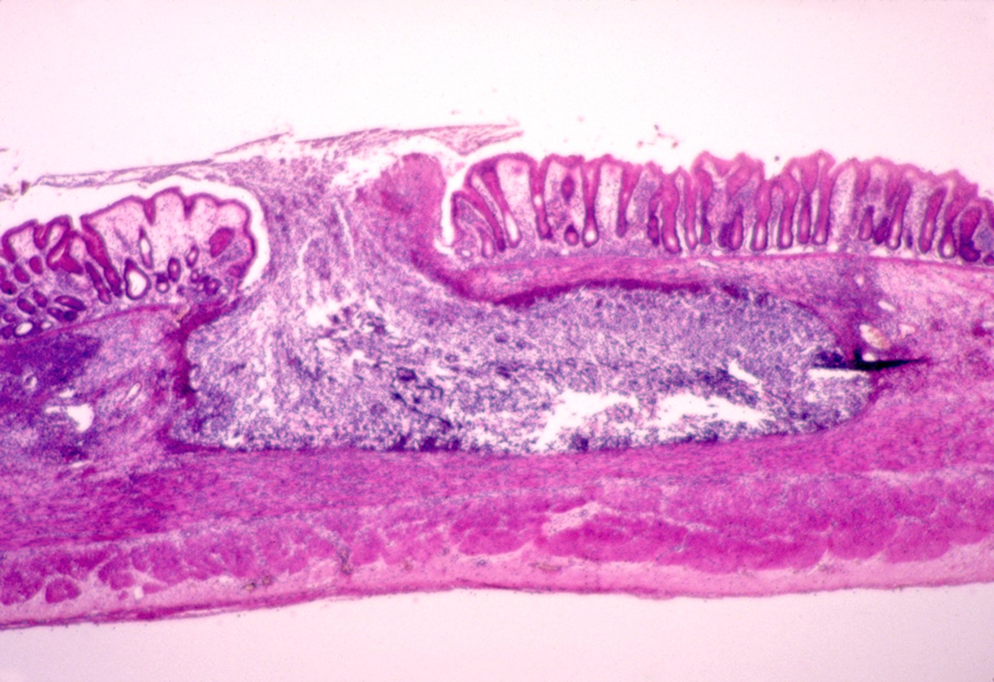
Пляшкоподібні виразки при амебіазі
This photomicrograph shows histopathologic changes resulting from intestinal amebiasis infection. Note the morphologic shape of this typical flask-shaped ulcer of the intestinal mucosa.
Image courtesy of CDC/Dr. Mae Melvin via the Public Health Image Library of the Centers for Disease Control and Prevention.
Серед цих тем
