Каріотип синдрому Дауна
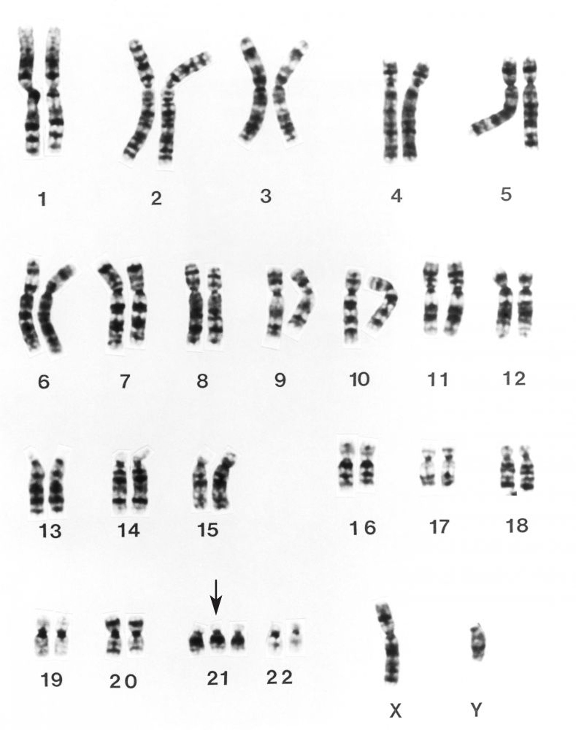
Down syndrome is characterized by trisomy 21, which is an extra chromosome 21 (see arrow).
L. WILLATT, EAST ANGLIAN REGIONAL GENETICS SERVICE/SCIENCE PHOTO LIBRARY
Серед цих тем
Down syndrome is characterized by trisomy 21, which is an extra chromosome 21 (see arrow).
L. WILLATT, EAST ANGLIAN REGIONAL GENETICS SERVICE/SCIENCE PHOTO LIBRARY