Дилатаційна кардіоміопатія (рентгенологічне дослідження органів грудної клітки)
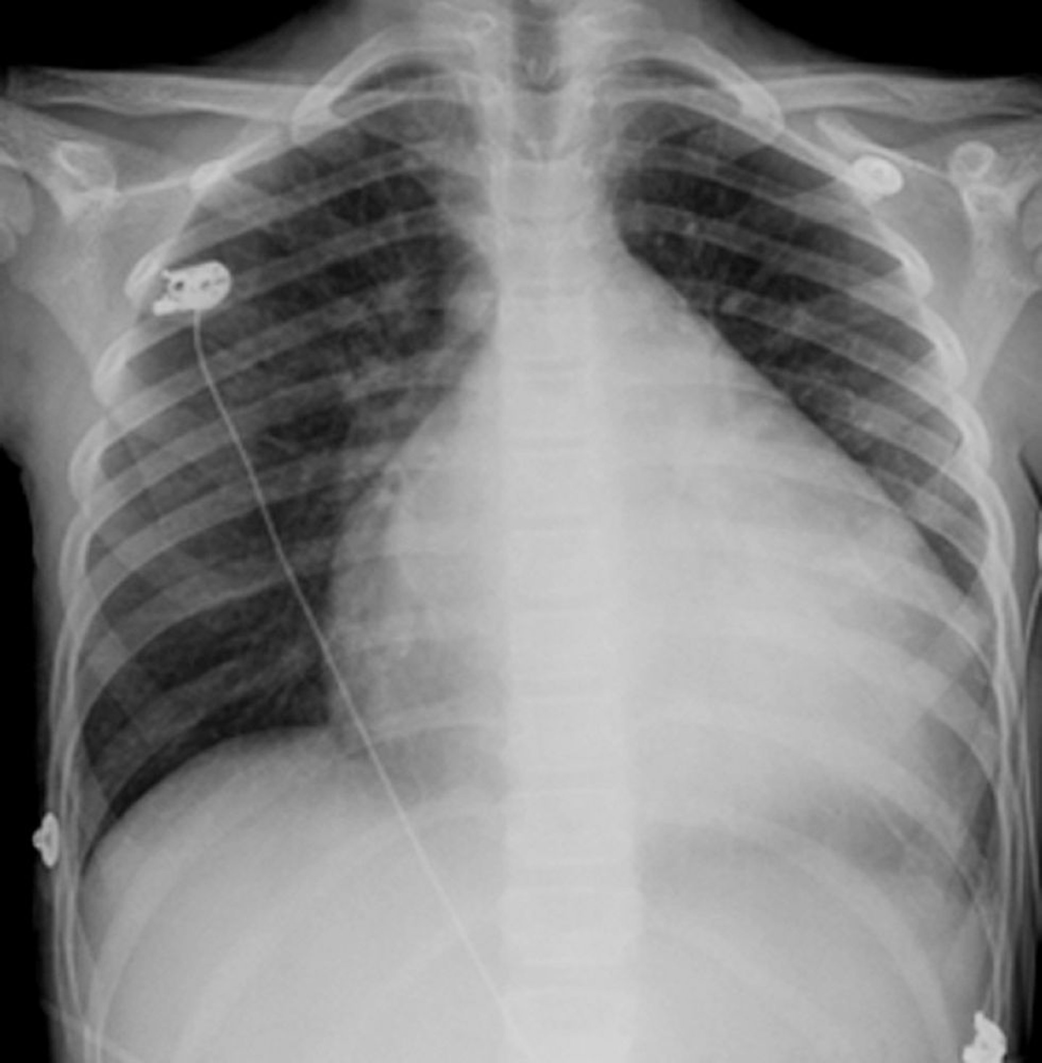
This x-ray shows severe cardiomegaly in a patient with dilated cardiomyopathy.
© Springer Science+Business Media
Серед цих тем
This x-ray shows severe cardiomegaly in a patient with dilated cardiomyopathy.
© Springer Science+Business Media