Chest Radiograph of a Patient with Pericardial Effusion
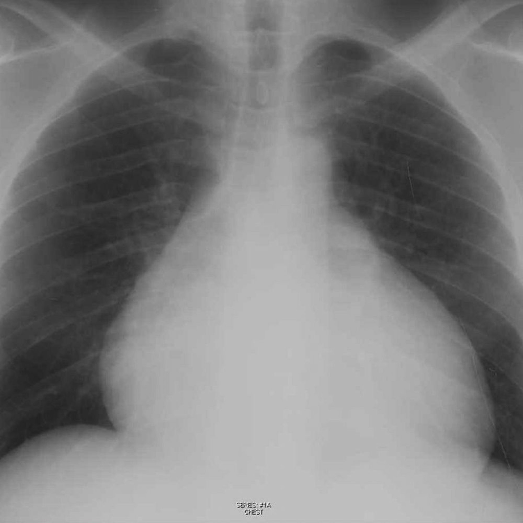
This radiograph shows enlarged cardiac silhouette in a patient with a pericardial effusion.
© 2017 Elliot K. Fishman, MD.
Серед цих тем
This radiograph shows enlarged cardiac silhouette in a patient with a pericardial effusion.
© 2017 Elliot K. Fishman, MD.