Anthrax (Inhalation)
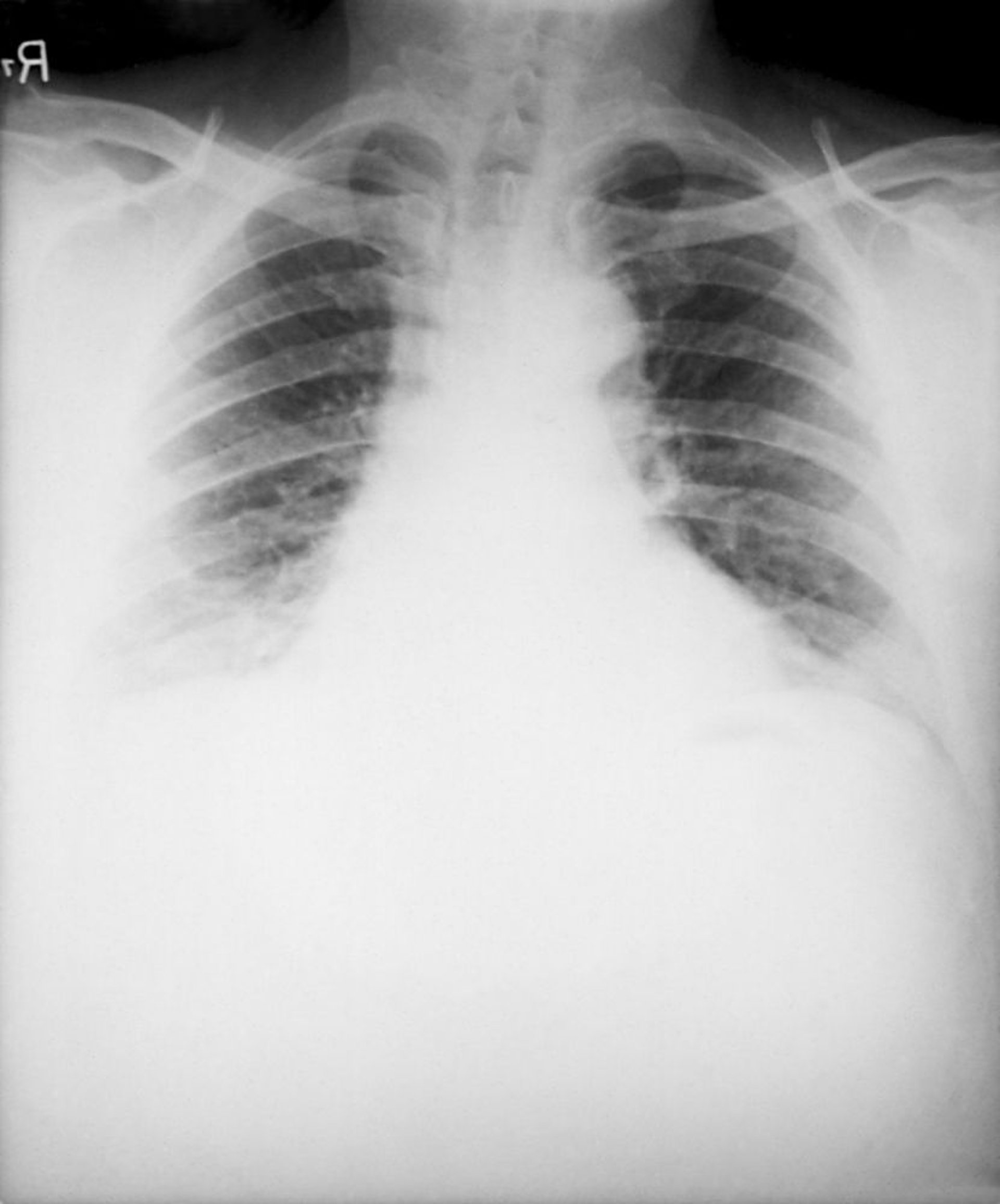
Typical findings of inhalation anthrax on chest radiograph include a widened mediastinum caused by hemorrhagic necrotizing mediastinal lymphadenitis and bilateral pleural effusions. Pneumonic infiltrates are uncommon.
Image courtesy of the Public Health Image Library of the Centers for Disease Control and Prevention.
Серед цих тем
