Анкілозуючий спондиліт
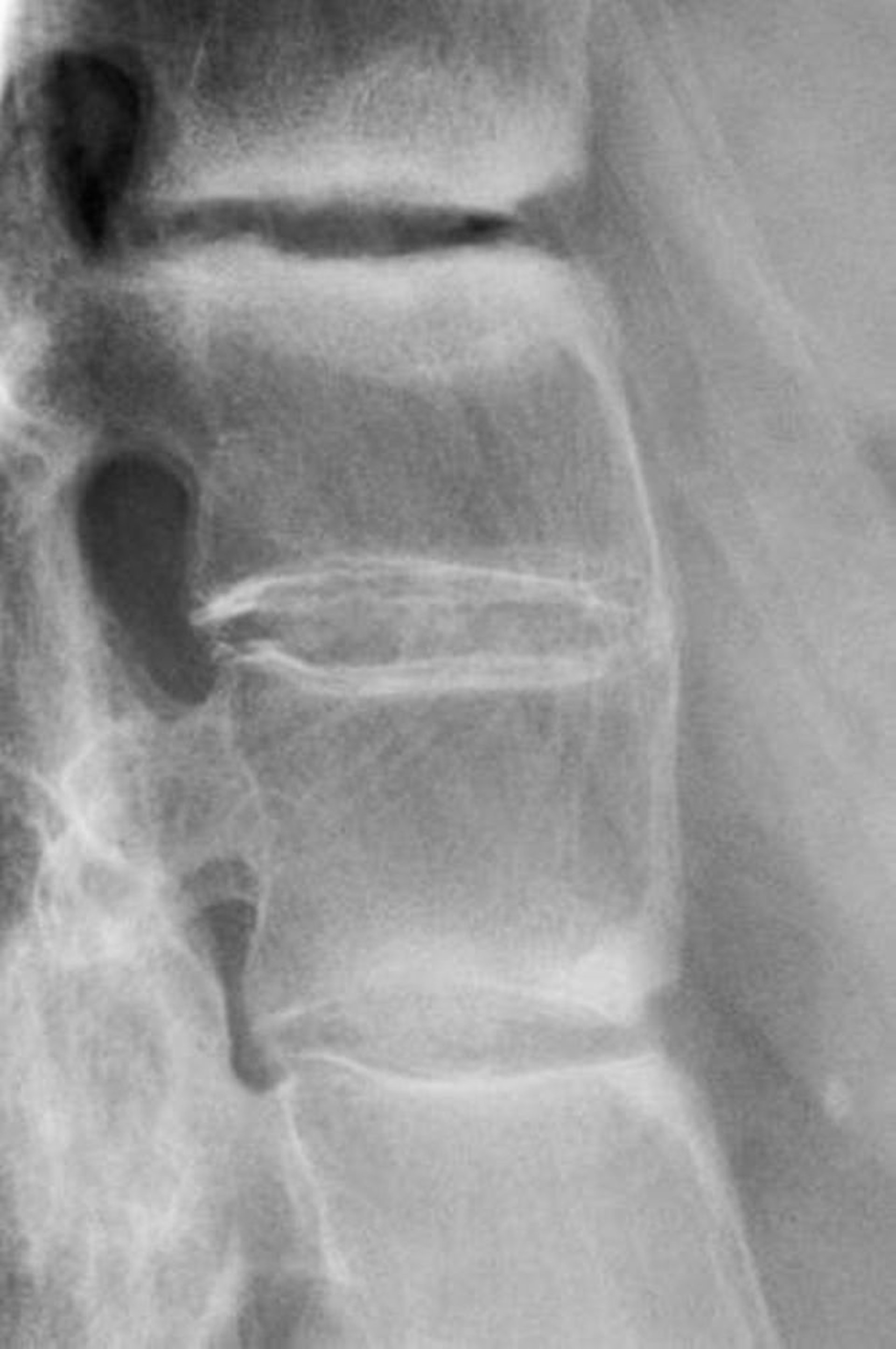
This radiograph shows sclerosis between lumbar vertebrae, loss of lordosis, and fusion of lumbar vertebrae, a finding indicating advanced ankylosing spondylitis.
DR P. MARAZZI/SCIENCE PHOTO LIBRARY
Серед цих тем
This radiograph shows sclerosis between lumbar vertebrae, loss of lordosis, and fusion of lumbar vertebrae, a finding indicating advanced ankylosing spondylitis.
DR P. MARAZZI/SCIENCE PHOTO LIBRARY