Allergic Bronchopulmonary Aspergillosis (Bronchiectasis)
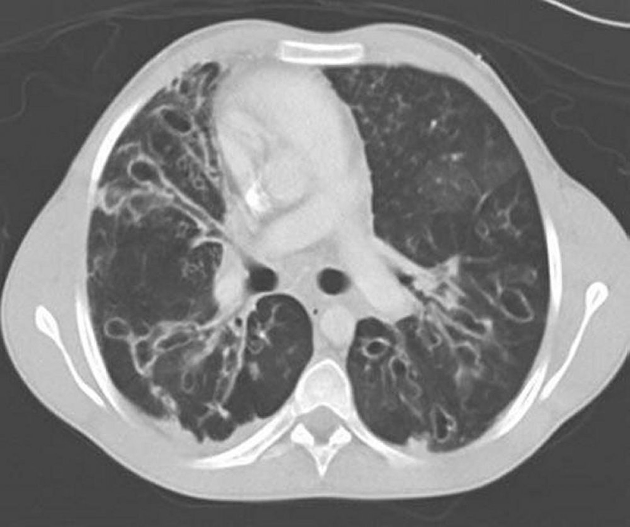
A contrast-enhanced CT of the chest shows severe bronchiectasis in the midlung zones with grossly dilated and ectatic airways and cystic changes. Airway ectasia dis characterized by a ratio of airway to adjacent vessel > 1.
By permission of the publisher. From Coakley R, Boucher R, Fiel S, et al. In Bone's Atlas of Pulmonary and Critical Care Medicine. Edited by J Crapo. Philadelphia, Current Medicine, 2005.
Серед цих тем
