Adenocarcinoma of the Esophagus
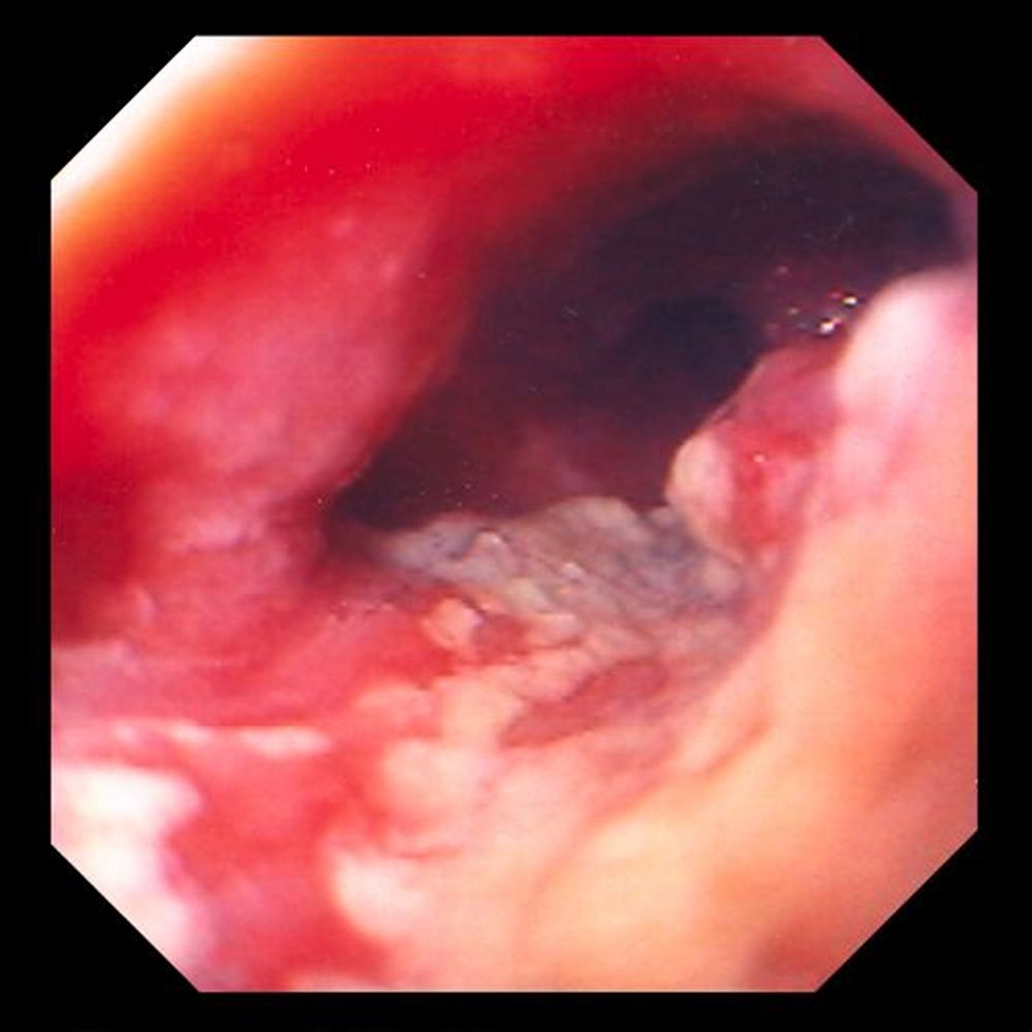
This image shows an ulcerated, constricting tumor located in the distal esophagus, which is highly suggestive of an adenocarcinoma arising from metaplastic columnar changes (Barrett esophagus).
Image provided by David M. Martin, MD.
Серед цих тем
