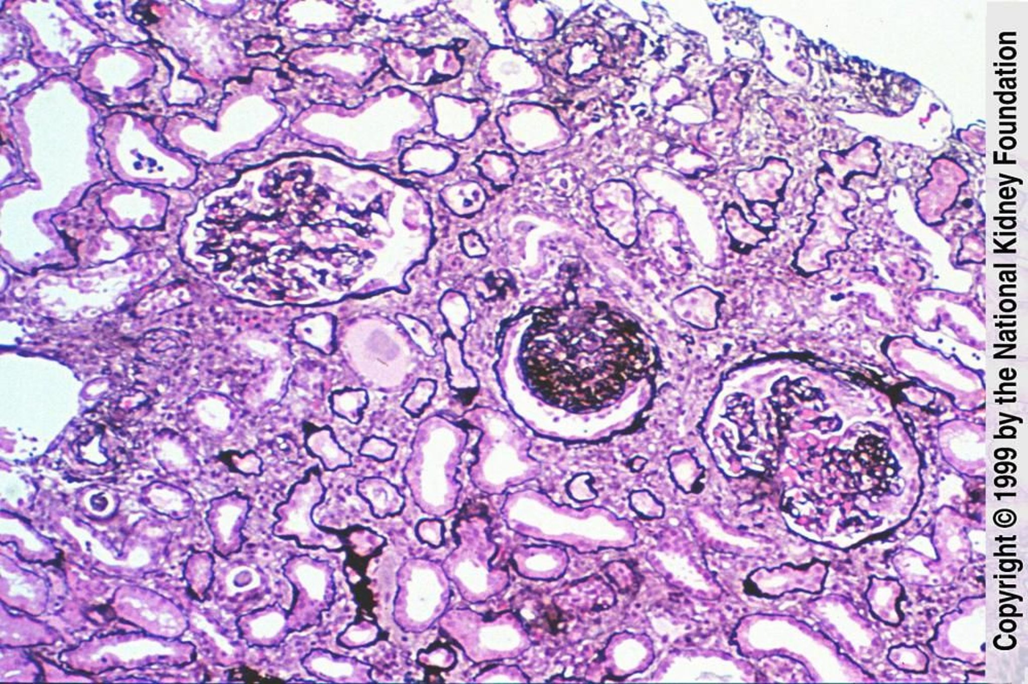
Фокально-сегментарный гломерулосклероз (поражение дистального канальца)
Периферическое повреждение представляет собой сегментарный склероз, локализованный на полюсе клубочка, где происходит образование канальца. Это может быть показателем неблагоприятных прогнозов (импрегнация солями серебра по Джонсу, ×200).
Image provided by Agnes Fogo, MD, and the American Journal of Kidney Diseases' Atlas of Renal Pathology (see www.ajkd.org).
По этим темам
