Гипероксалурия
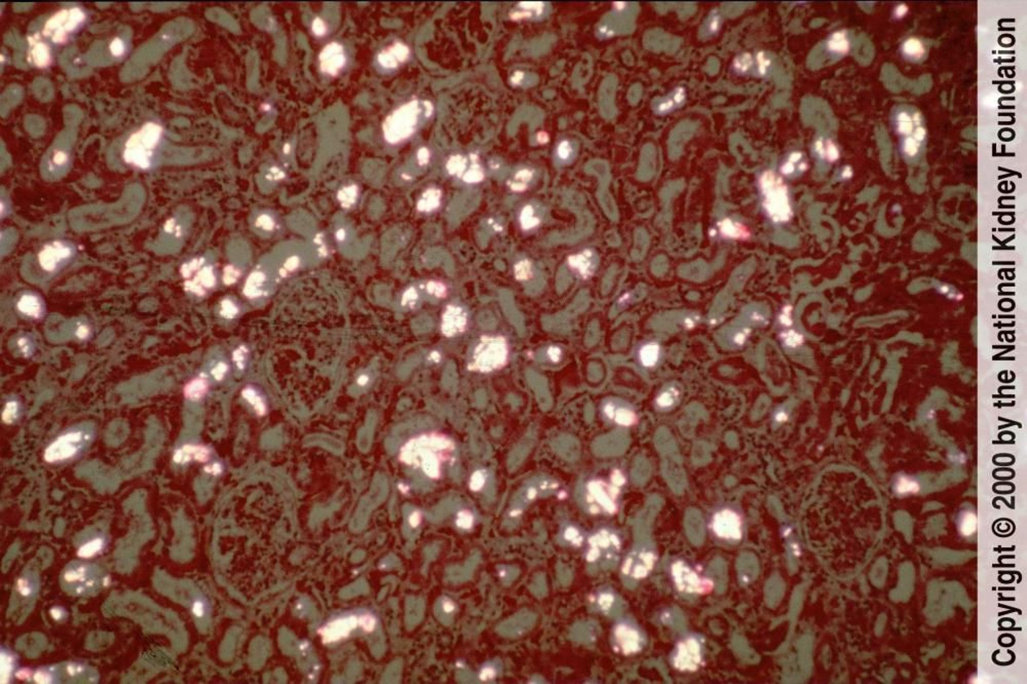
Кристаллы оксалата кальция осаждаются в почечных канальцах и легко видны в виде двулучепреломляющих и веерообразных или сноповидных кристаллов при поляризованном свете (поляризованный гематоксилин-эозиновый краситель, ×100).
Image provided by Agnes Fogo, MD, and the American Journal of Kidney Diseases' Atlas of Renal Pathology (see www.ajkd.org).
По этим темам
