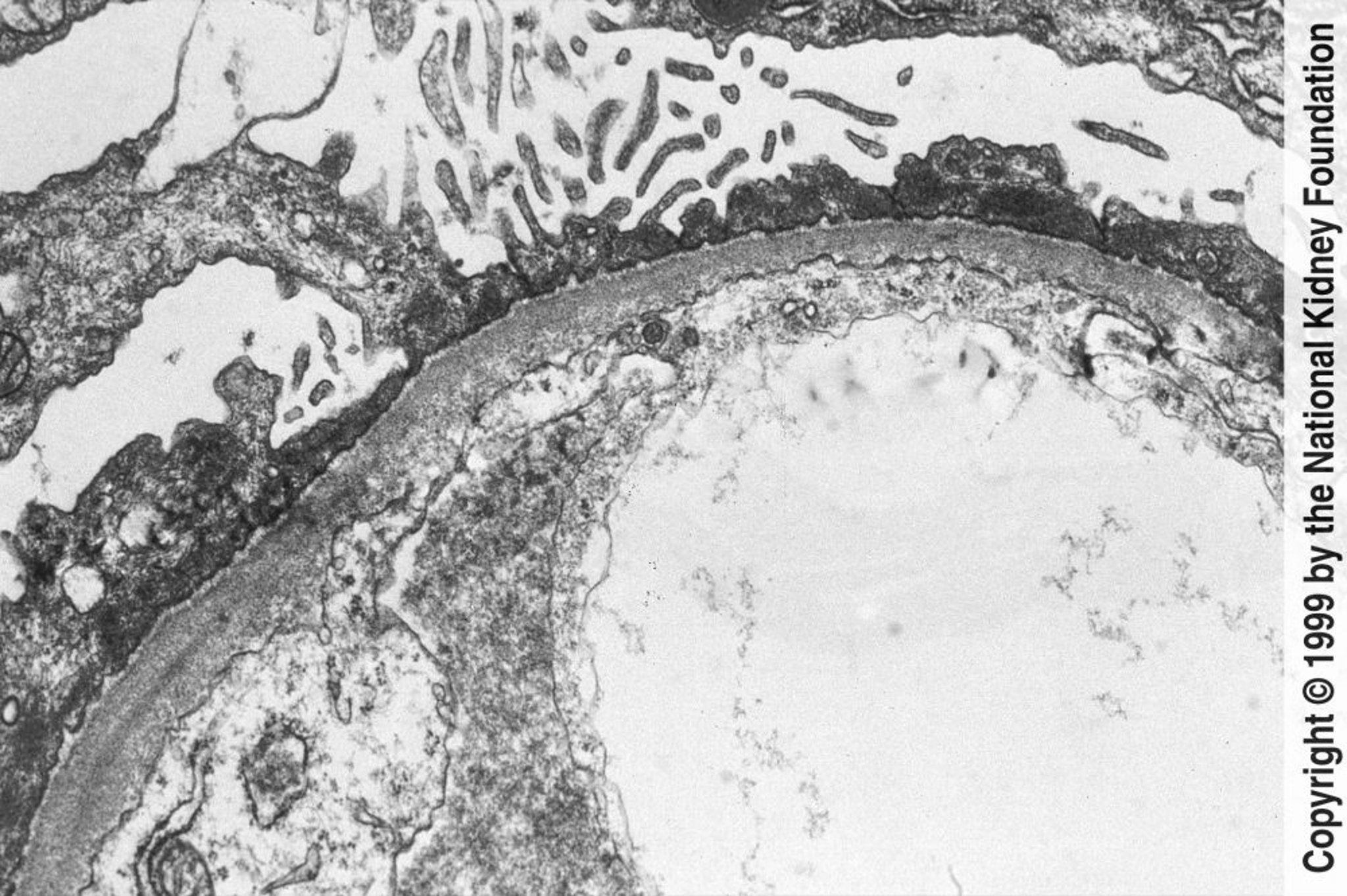
Болезнь минимальных изменений
Диффузное вымывание в астроцитарной отростке можно наблюдать в просвечивающем электронном микроскопе (×800).
Image provided by Agnes Fogo, MD, and the American Journal of Kidney Diseases' Atlas of Renal Pathology (see www.ajkd.org).
По этим темам
