Адамантинома
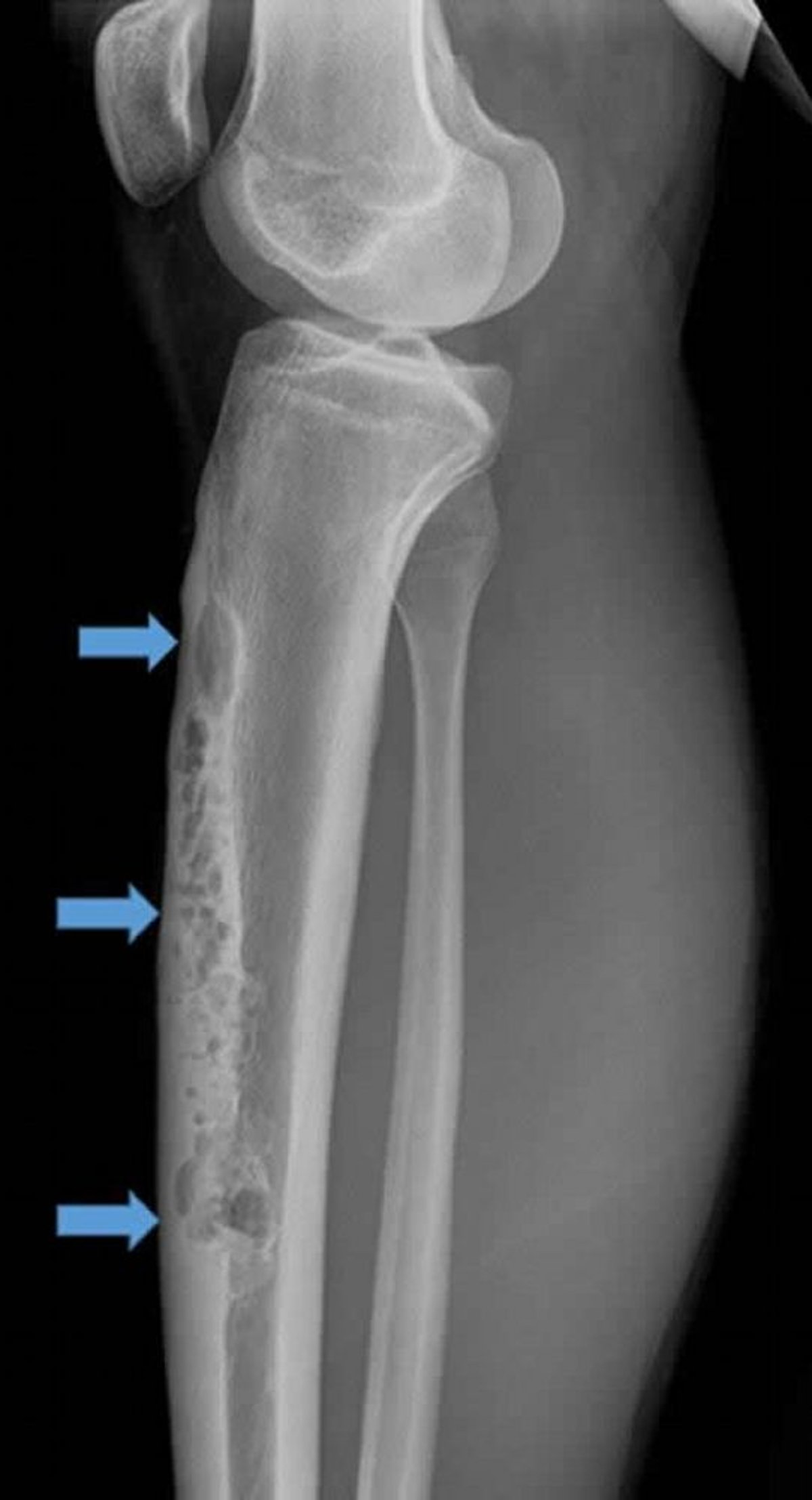
На этой латеральной рентгенограмме правой голени показана большая внутрикортикальная адамантинома передней поверхности (стрелки). Обратите внимание на проникающий, остеолитический вид «мыльных пузырей».
Image courtesy of Michael J. Joyce, MD, and Hakan Ilaslan, MD.
По этим темам
