Предоставлено Вамmsd logo
This site is not intended for use in the Russian Federation
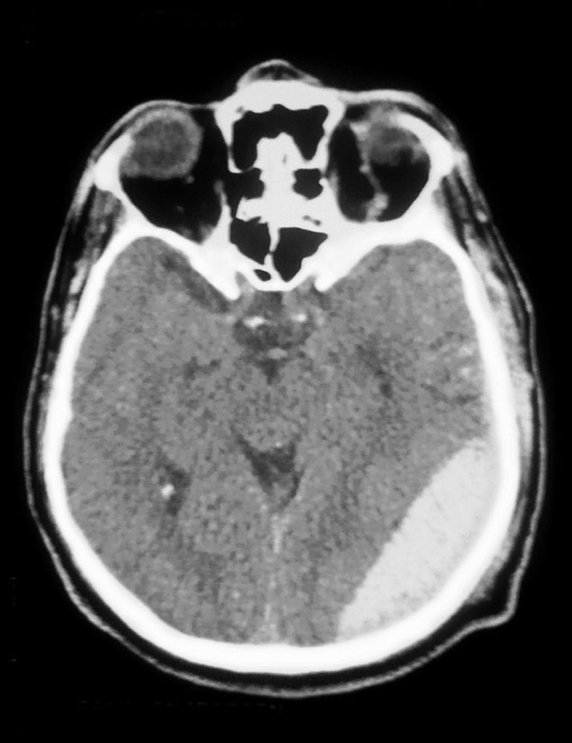
Эпидуральная гематома

Эпидуральная гематома

На КТ видна эпидуральная гематома (затемнение внизу справа).

Cavallini James/BSIP/SCIENCE PHOTO LIBRARY