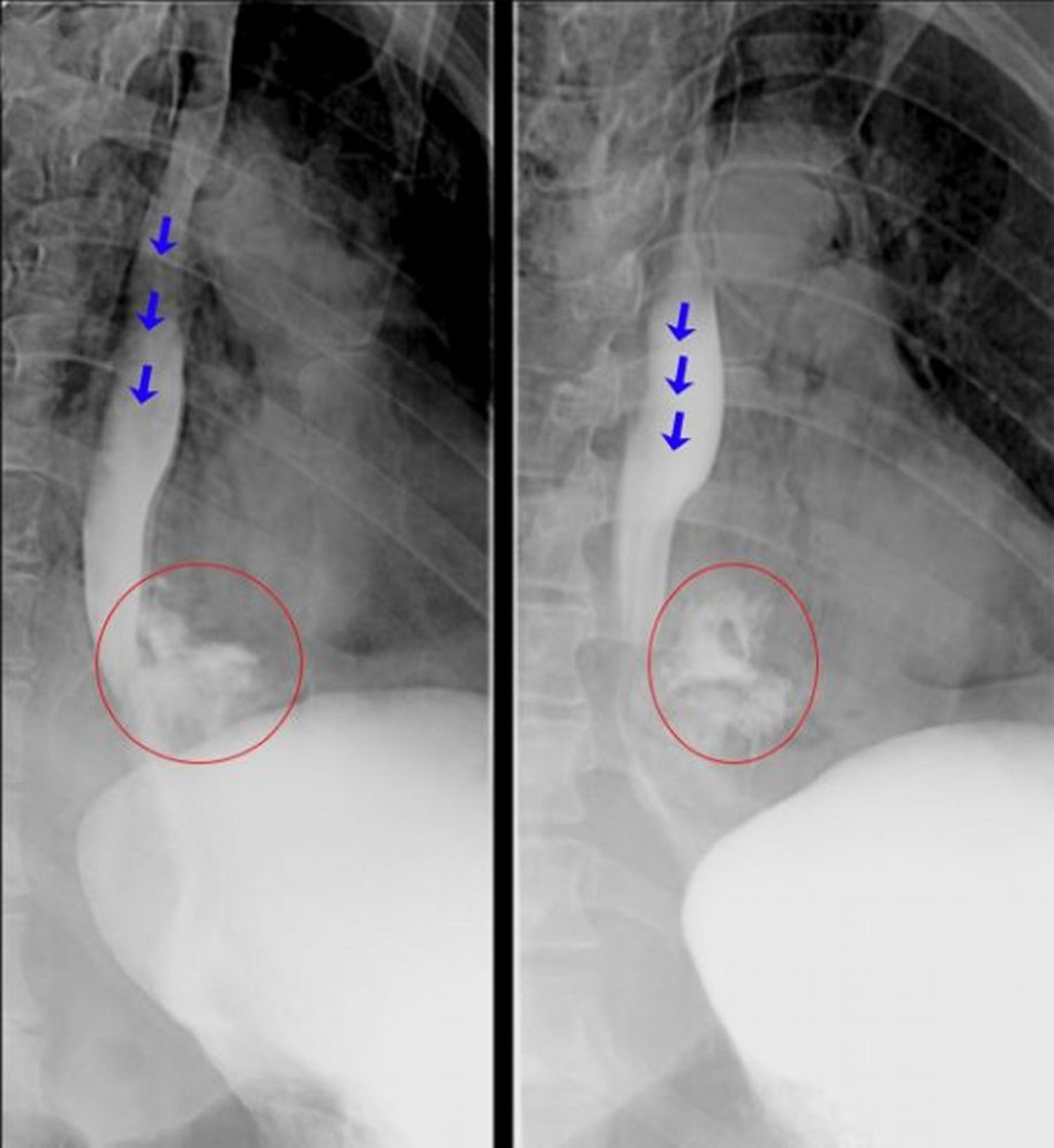
Эзофагография с водорастворимым контрастом
Эти рентгеноскопические эзофагограммы показывают явную экстравазацию контрастного вещества из дистального отдела пищевода, что согласуется с диагнозом перфорации пищевода. Синие стрелки указывают на контрастное вещество в просвете пищевода. Красными кружками выделено контрастное вещество, вышедшее из пищевода.
© Springer Science+Business Media
По этим темам
