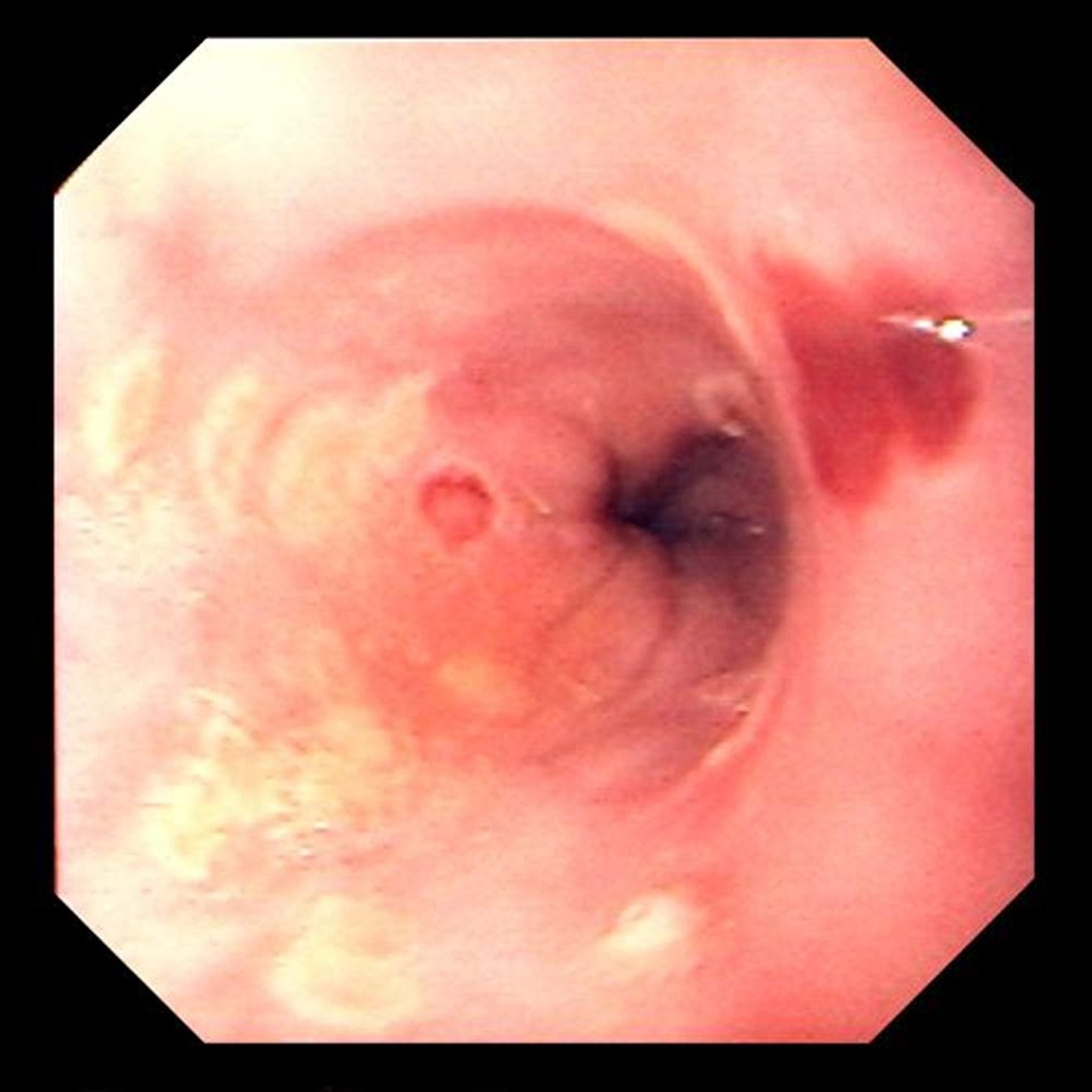
Эзофагит, вызванный вирусом простого герпеса
Фокальные изъязвления характерны для эзофагита, вызванного вирусом простого герпеса.
Image provided by David M. Martin, MD.
По этим темам
Фокальные изъязвления характерны для эзофагита, вызванного вирусом простого герпеса.
Image provided by David M. Martin, MD.