Фокально-сегментарный гломерулосклероз
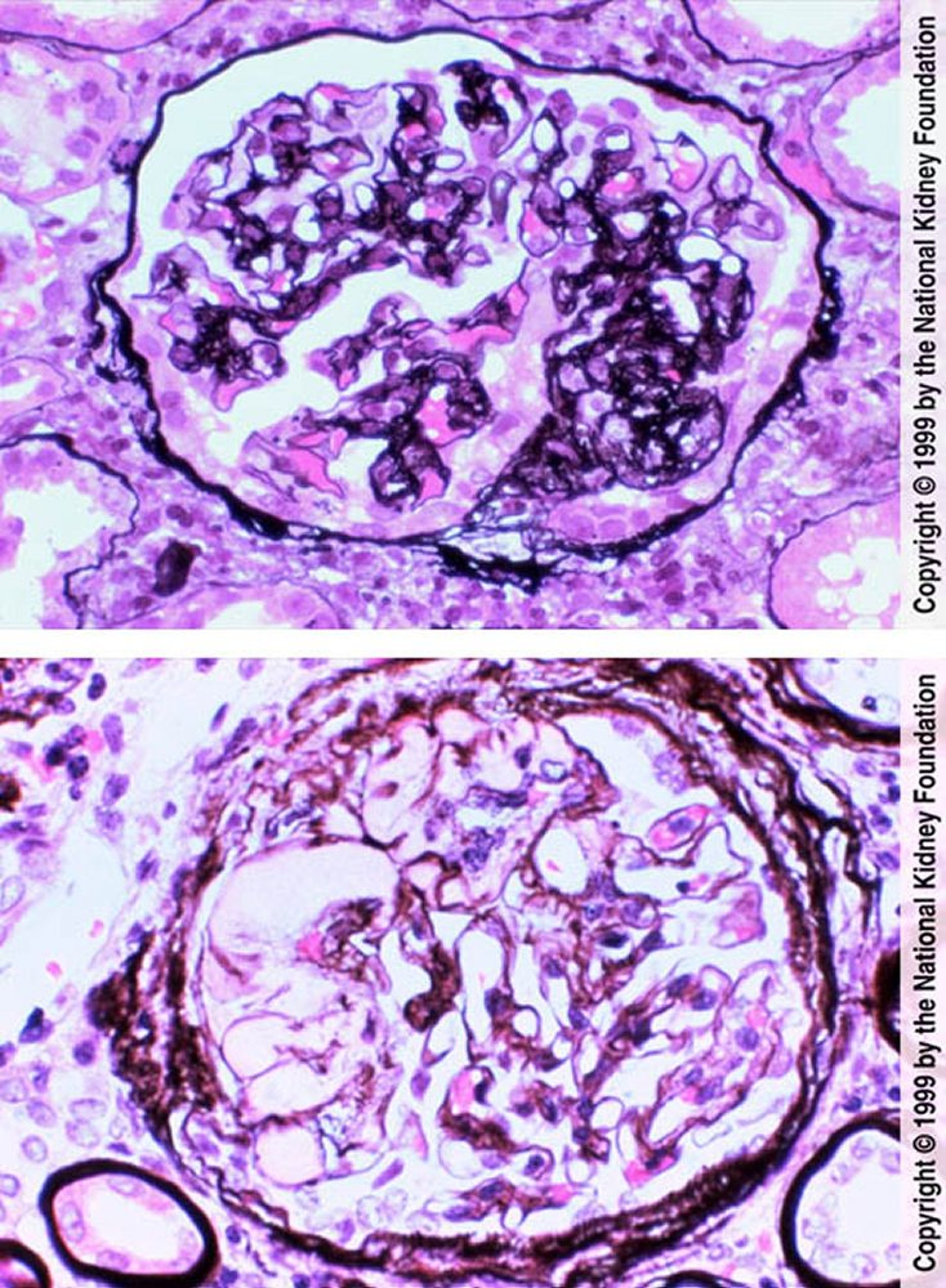
На верхнем изображении показана правая сторона клубочка. Сегментарно-склеротический клубочек состоит из облитерированных просветов капилляров и увеличенного количества мезангиального матрикса. Остальная часть гломерулы в нормальном состоянии (серебрение по Джонсу, ×400). На нижнем изображении гиалин, определяемый как гладкий, стеклообразный материал, образуется в результате инсудации (пропитывание стенок сосудов) (противоположна экссудации) белками плазмы крови. Это происходит часто и не имеет диагностического значения (импрегнация солями серебра по Джонсу, ×400).
Image provided by Agnes Fogo, MD, and the American Journal of Kidney Diseases' Atlas of Renal Pathology (see www.ajkd.org).
По этим темам
