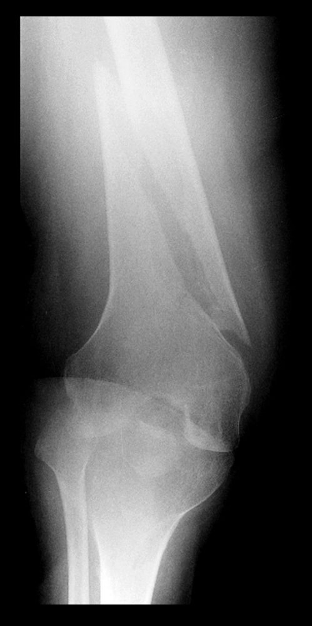
Спиральный перелом дистального отдела бедренной кости
На этой рентгенограмме дистального отдела бедренной кости имеется просветление, расположенное параллельно длинной оси кости, что указывает на спиральный перелом.
LIVING ART ENTERPRISES/SCIENCE PHOTO LIBRARY
По этим темам
