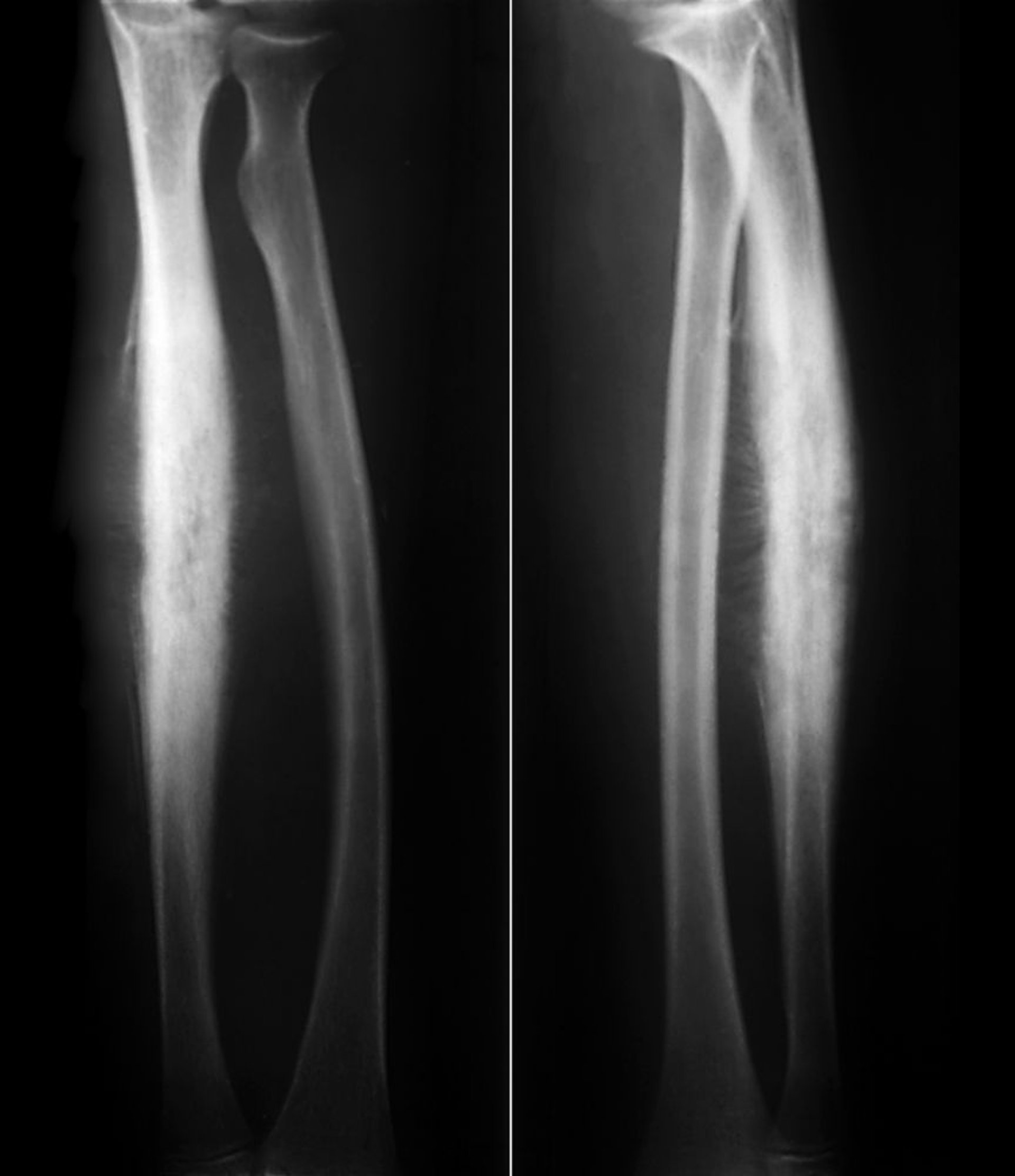
Саркома Юинга лучевой кости
При саркоме Юинга в области диафиза лучевой кости отмечается субпериостальное образование новой костной ткани с характерной периостальной реакцией типа «солнечных лучей»» (sunburst), а также литическое разрушение кортикального слоя кости.
ZEPHYR/SCIENCE PHOTO LIBRARY
По этим темам
