Рентгенографическое исследование грудной клетки пациента с жидкостью в горизонтальной и косой щелях правого легкого
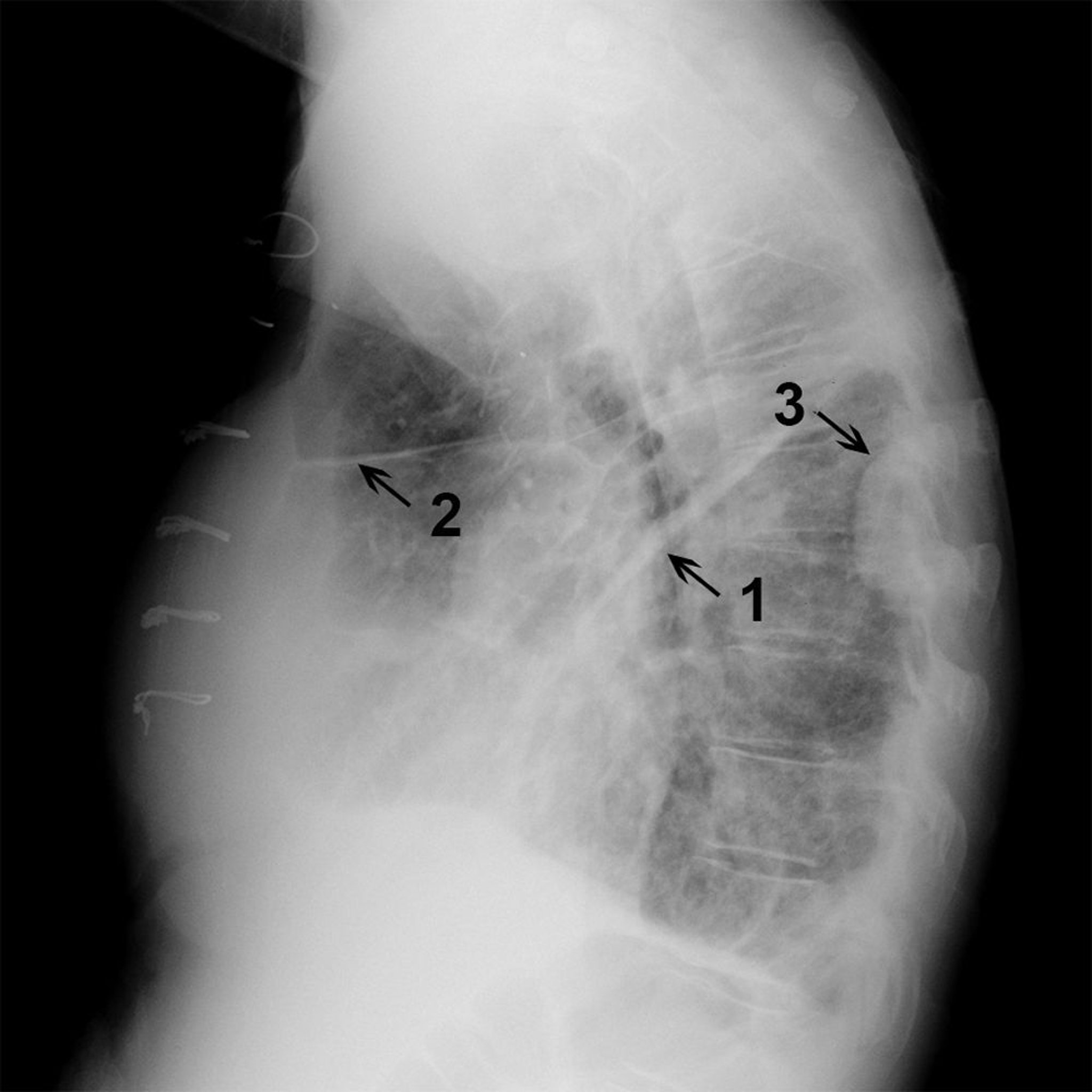
Рентгенографическое исследование боковой части грудной клетки у пациентов с жидкостью в косой (1) и горизонтальной (2) щелях, а также с осумкованным плевральный выпотом (3), наблюдаемым вдоль задней стенки правой части грудной клетки.
© 2017 Elliot K. Fishman, MD.
По этим темам
