Предоставлено Вамmsd logo
This site is not intended for use in the Russian Federation
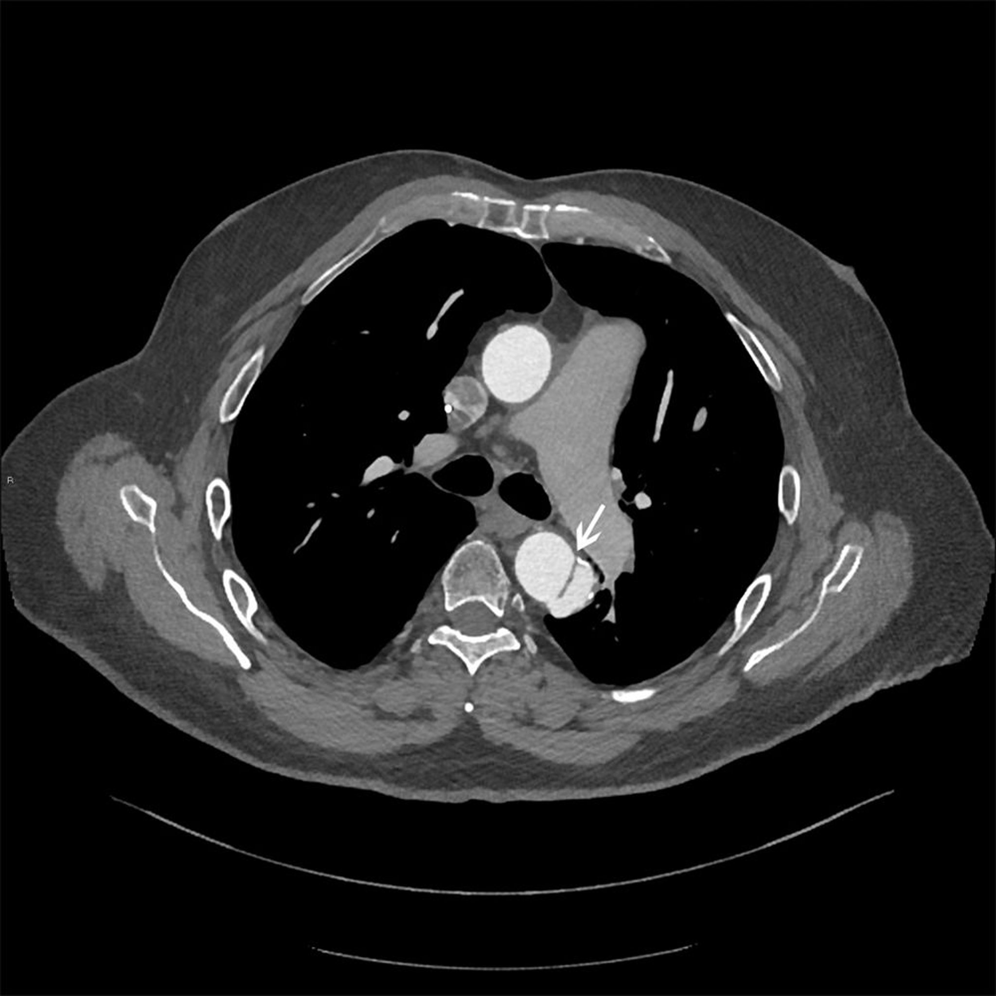
Расслоение грудной аорты в грудном отделе (Стенфорд, тип В)

Расслоение грудной аорты в грудном отделе (Стенфорд, тип В)

Осевое изображение расслоенного лоскута (белая стрелка) в нисходящей грудной аорте.

© 2017 Elliot K. Fishman, MD.

По этим темам