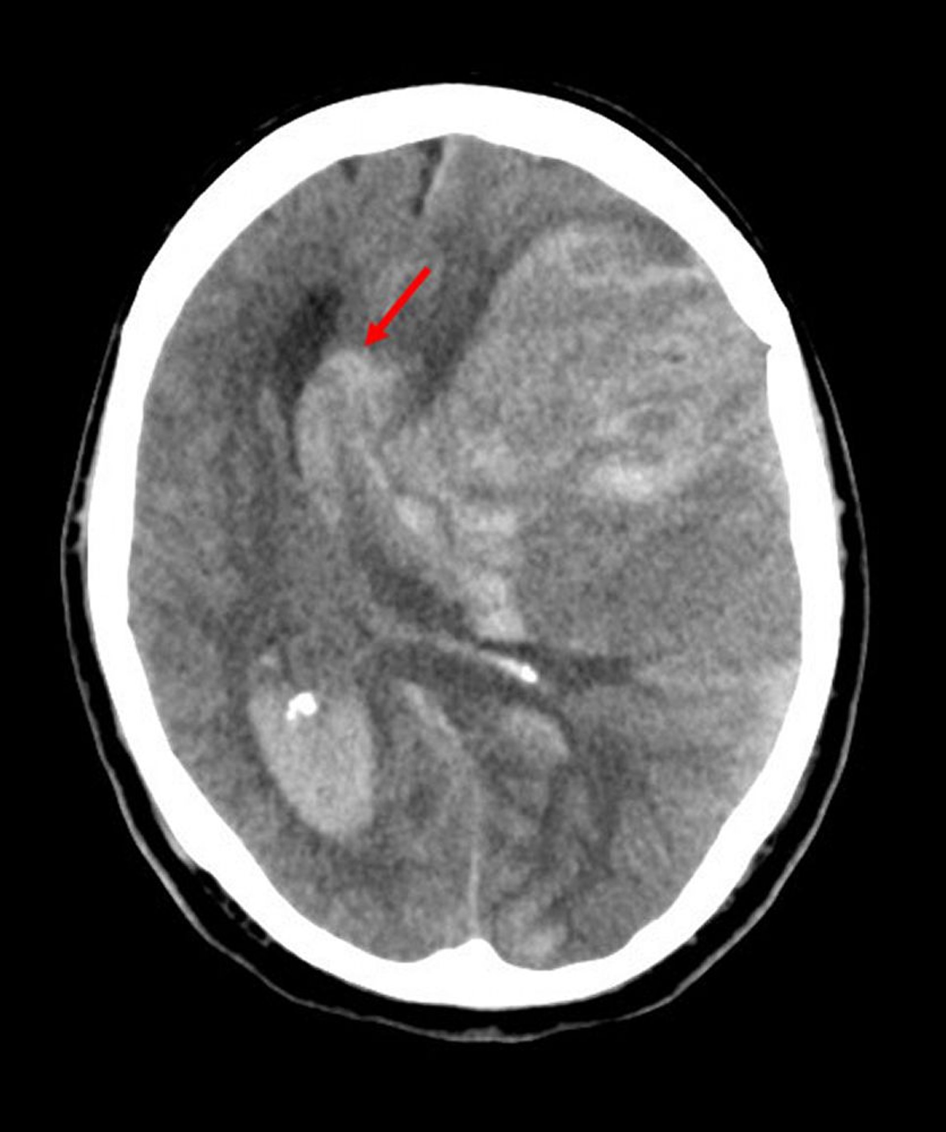
Подсерповидное (субфальксное) вклинение
Субфальксное вклинение – наиболее распространенный тип вклинения головного мозга. На данном изображении в левом полушарии головного мозга под свободным краем серповидного отростка (стрелка) имеется грыжа, возникшая вследствие повышенного внутримозгового давления, вызванного кровоизлиянием из-за инфаркта в бассейне средней мозговой артерии.
© 2017 Elliot K. Fishman, MD.
