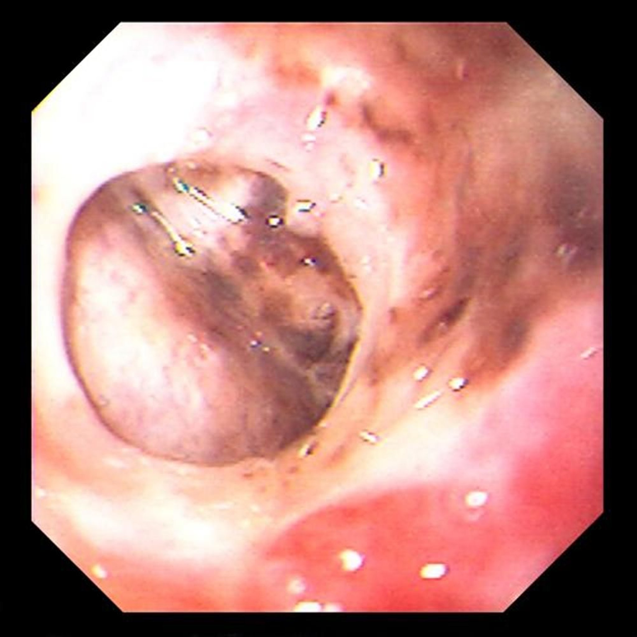
Перфорация язвы желудка
Данный снимок показывает хроническую изолированную перфорацию язвы желудка, через которую видна печень.
Image provided by David M. Martin, MD.
По этим темам
Данный снимок показывает хроническую изолированную перфорацию язвы желудка, через которую видна печень.
Image provided by David M. Martin, MD.