ОФЭКТ при недавно возникшей стенокардии
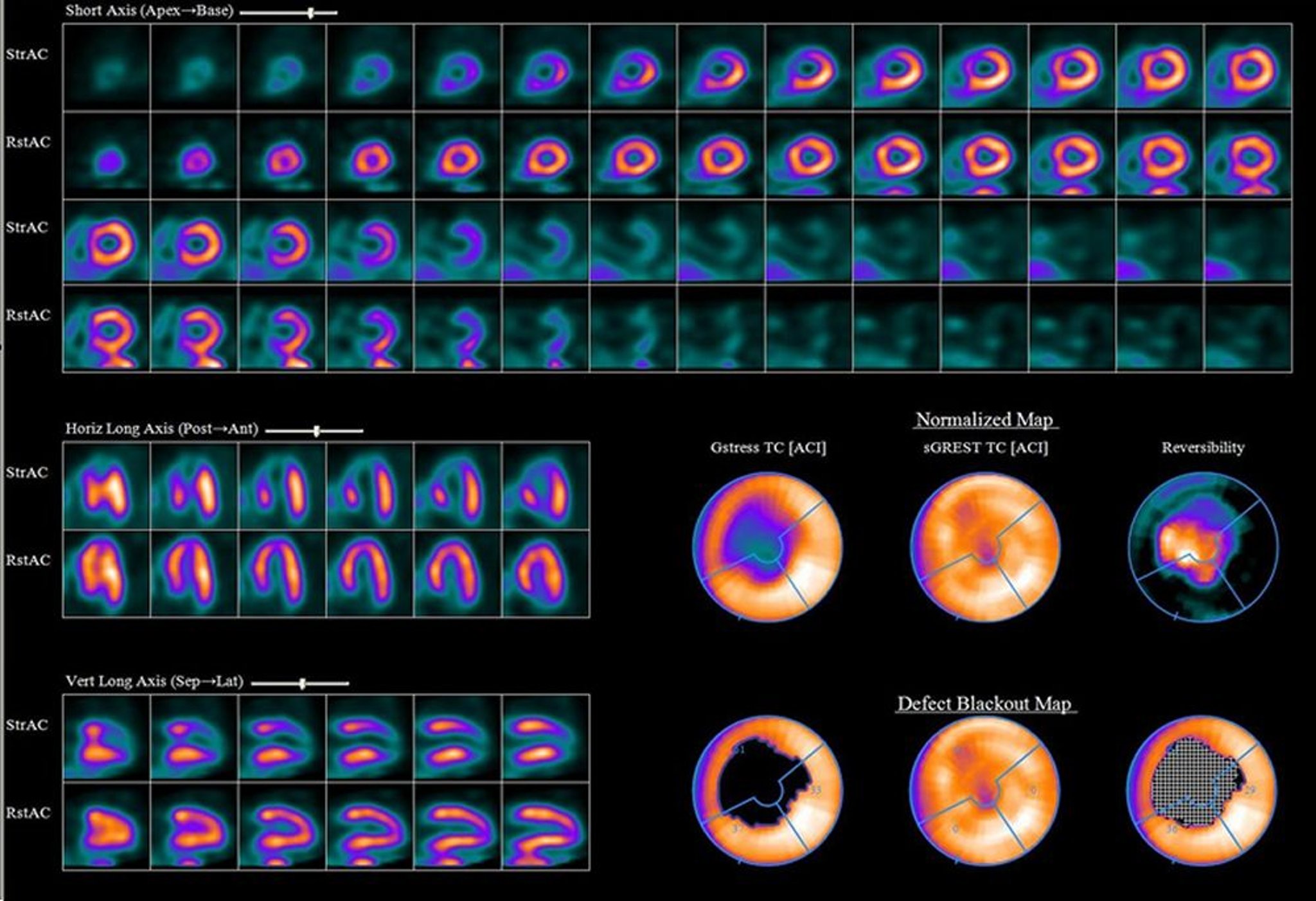
Исследование с нагрузкой и в покое методом однофотонной эмиссионной компьютерной томографии (ОФЭКТ) 52-летнего мужчины с недавно возникшей стенокардией. Изображения, полученные во время стресса (ряды изображений или полярные карты, обозначенные как Стрс или Стресс), показывают большую площадь ишемии на территории, питаемой левой передней нисходящей (ЛПН) артерией, которая отсутствует в состоянии покоя (ряды изображений или полярные карты обозначены как Отд или Отдых). При ангиографии подтверждена 95-99% окклюзия с вовлечением бифуркации ЛПН на первой диагональной ветви. Изображения, полученные во время стресса, показывают меньшее поглощение (более фиолетовое или тусклое), чем яркие участки, сделанные в состоянии покоя.
Изображение предоставлено James R. Corbett, MD.
