Одноконтрастная бариевая клизма, показывающая деформации в виде "шеи лебедя" при болезни Гиршпрунга
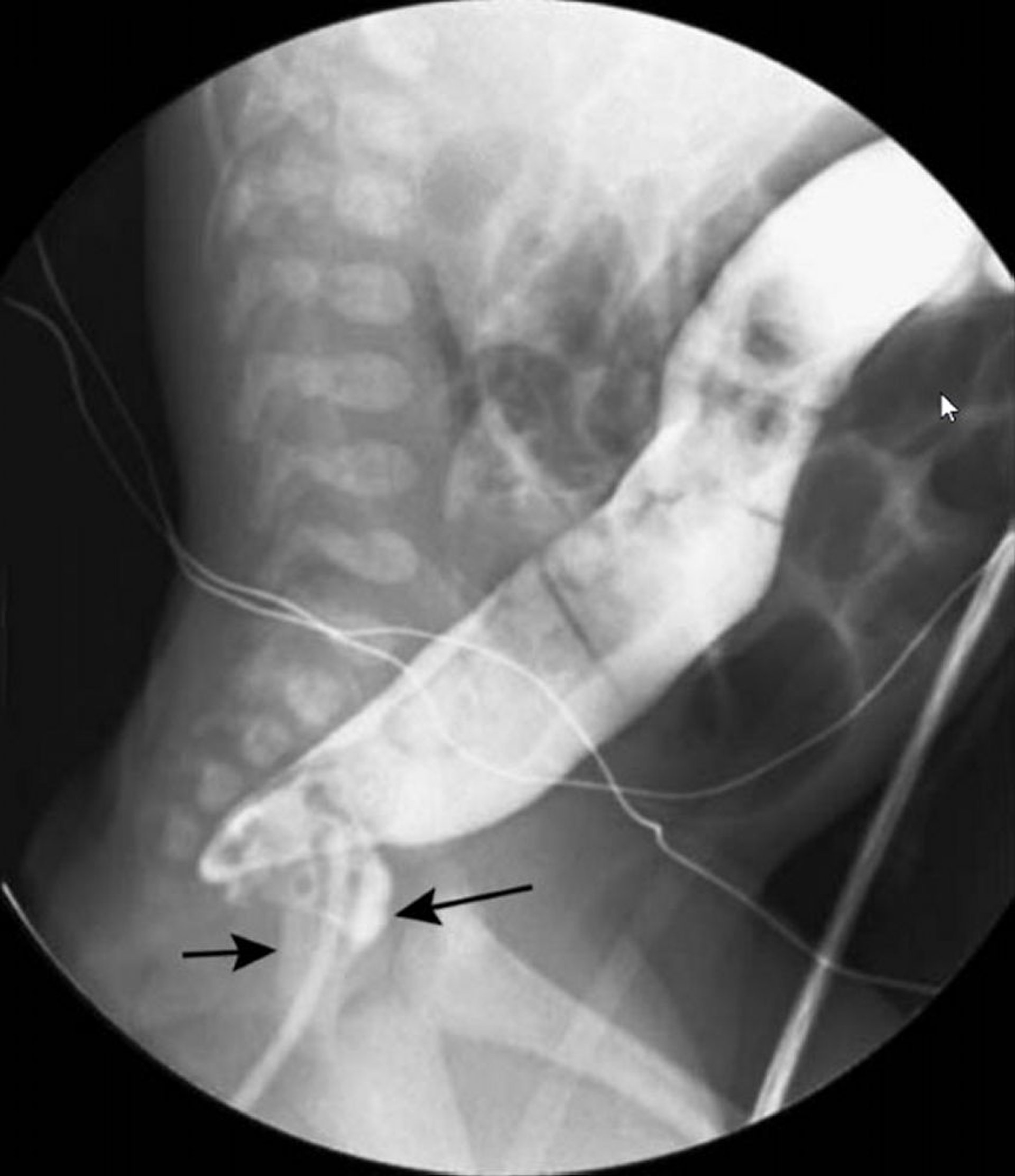
На этом изображении бариевая клизма показывает суженную прямую кишку (черные стрелки) и расширенную толстую кишку (белая стрелка) проксимальнее.
© Springer Science+Business Media
По этим темам
