Нейроцистицеркоз
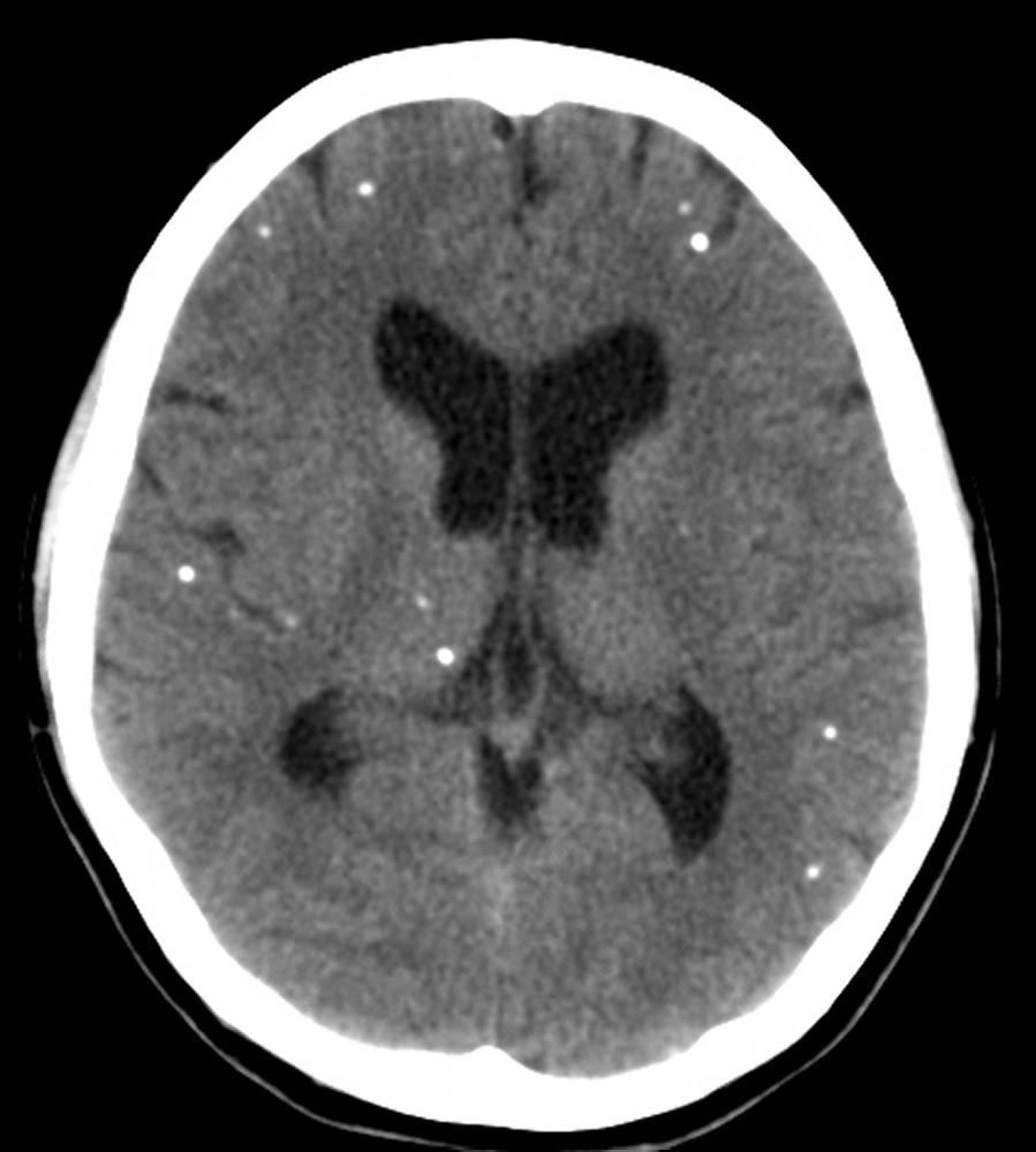
На этих снимках компьютерной томографии показаны множественные очаги кальцификации, представляющие кальцифицированные кисты у пациента с нейроцистицеркозом.
Courtesy of John E. Greenlee, MD.
По этим темам
На этих снимках компьютерной томографии показаны множественные очаги кальцификации, представляющие кальцифицированные кисты у пациента с нейроцистицеркозом.
Courtesy of John E. Greenlee, MD.