Мозжечковая гемангиобластома (МРТ)
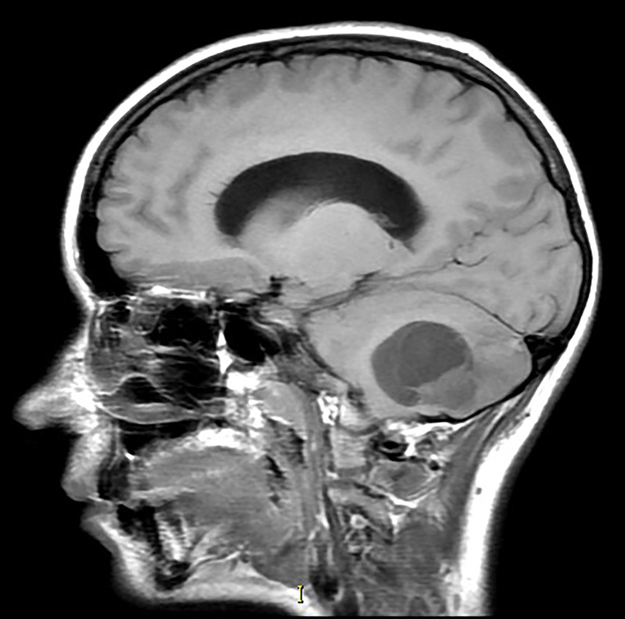
На этом сагиттальном Т1-взвешенном магнитно-резонансном изображении без контраста видно частично кистозное и солидное образование в нижней части мозжечка с сопутствующим масс-эффектом. Это наиболее распространенный внешний вид гемангиобластомы. Эта опухоль с большей частотой наблюдается у пациентов с синдромом Гиппеля-Линдау.
Living Art Enterprises/SCIENCE PHOTO LIBRARY
