Легочная чума
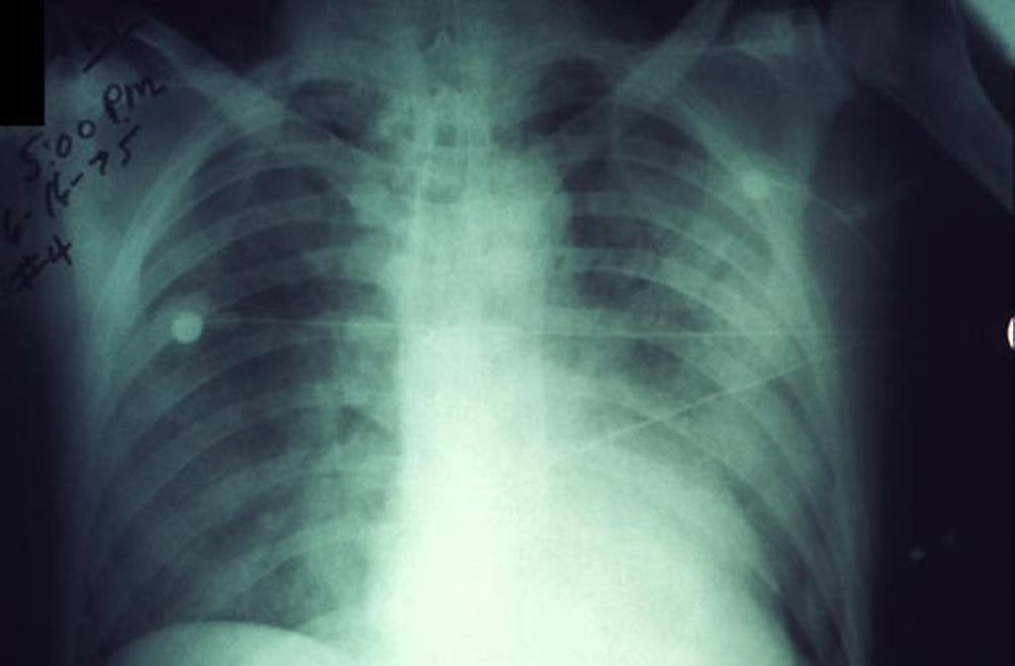
На данном рентгеновском снимке грудной клетки показаны быстро увеличивающиеся инфильтраты при легочной чуме.
CDC/Dr. Jack Poland
По этим темам
На данном рентгеновском снимке грудной клетки показаны быстро увеличивающиеся инфильтраты при легочной чуме.
CDC/Dr. Jack Poland