Предоставлено Вамmsd logo
This site is not intended for use in the Russian Federation
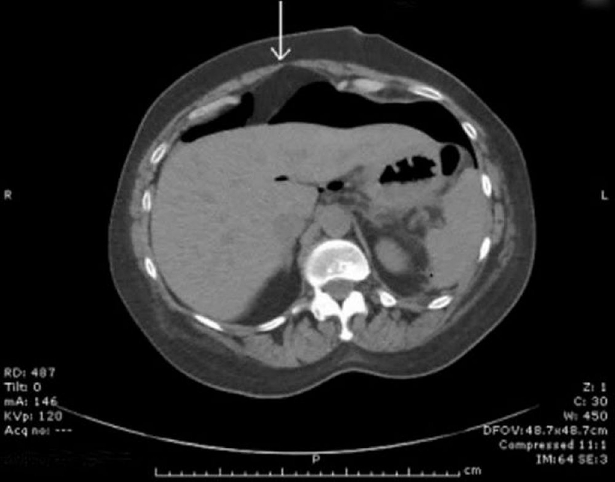
КТ с признаками свободного газа в брюшной полости

КТ с признаками свободного газа в брюшной полости

Перед печенью видно скопление воздуха. Стрелка указывает на серповидную связку.

Image provided by Parswa Ansari, MD.