КТ с контрастированием, показывающая коронарные артерии в норме – слайд 3
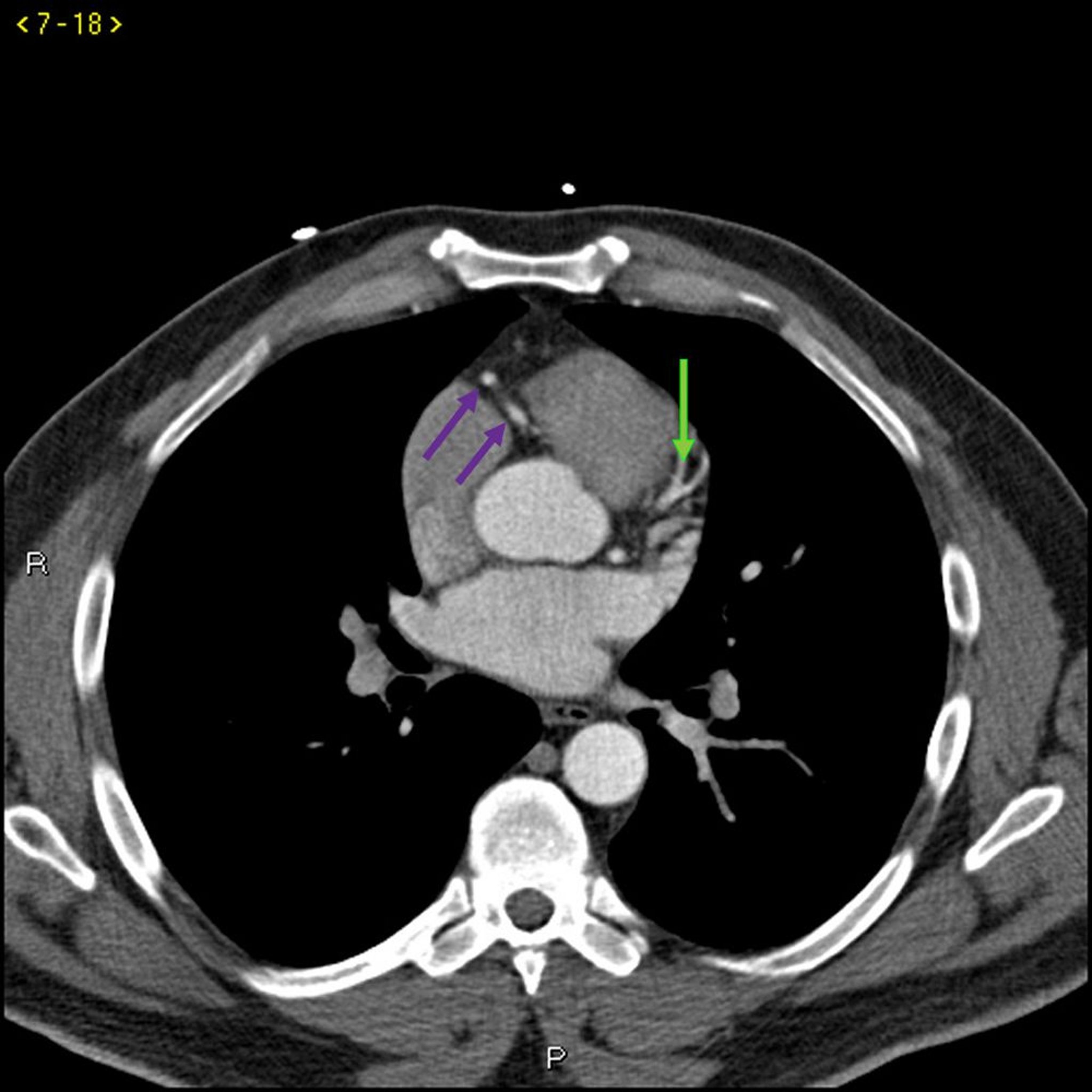
КТ с контрастированием, показывающая коронарные артерии в норме Левая ветвь коронарной артерии обозначена красной стрелкой. Левая передняя нисходящая и левая огибающая артерии обозначены зеленой и синей стрелками соответственно, а правая коронарная артерия – филетовой стрелкой.
© 2017 Elliot K. Fishman, MD.
По этим темам
