Предоставлено Вамmsd logo
This site is not intended for use in the Russian Federation
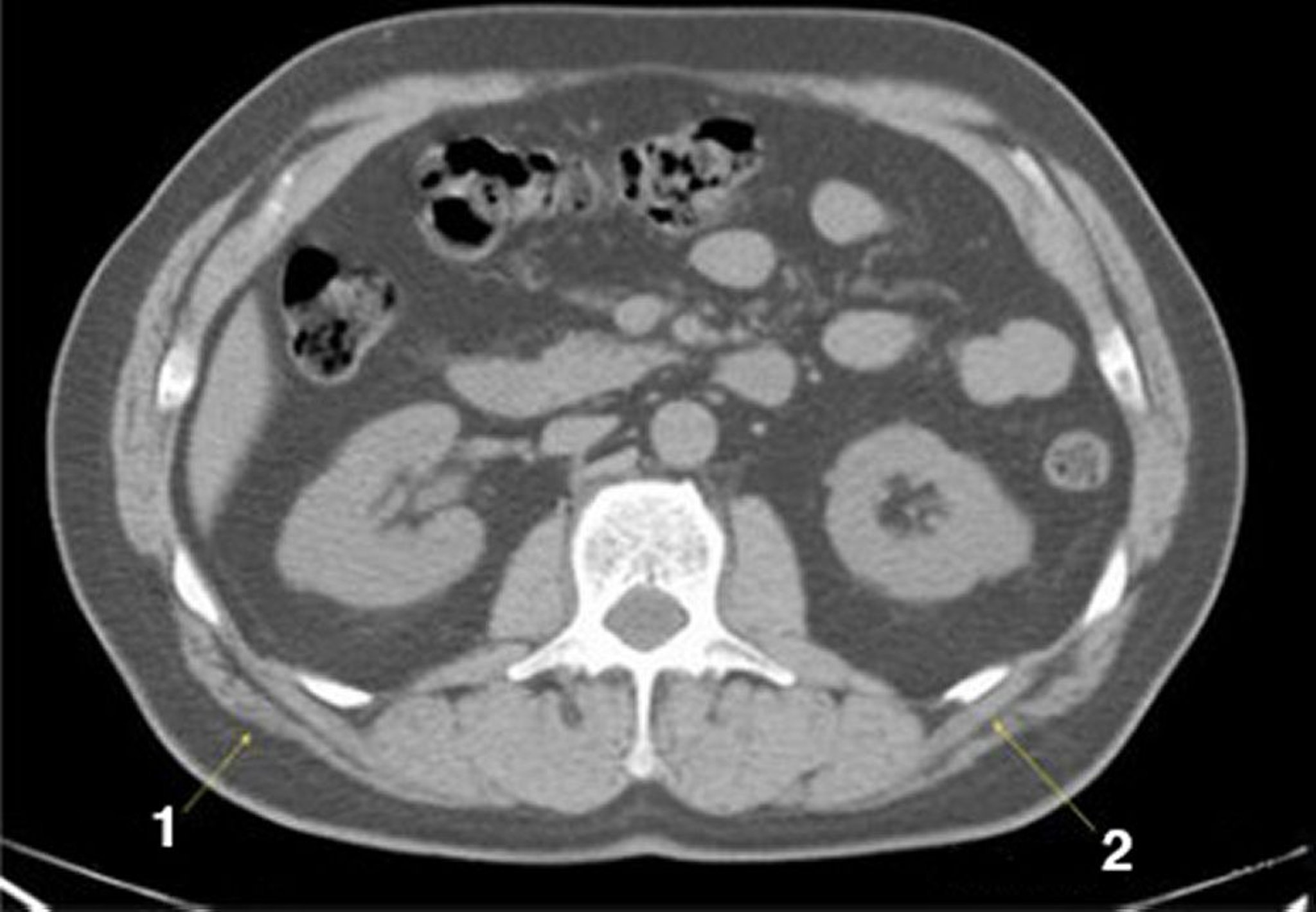
КТ брюшной полости и таза без контраста, демонстрирующая нормальную анатомию (слайд 15)

КТ брюшной полости и таза без контраста, демонстрирующая нормальную анатомию (слайд 15)

1 = широчайшая мышца спины; 2 = задняя зубчатая мышца.

© Springer Science+Business Media