Предоставлено Вамmsd logo
This site is not intended for use in the Russian Federation
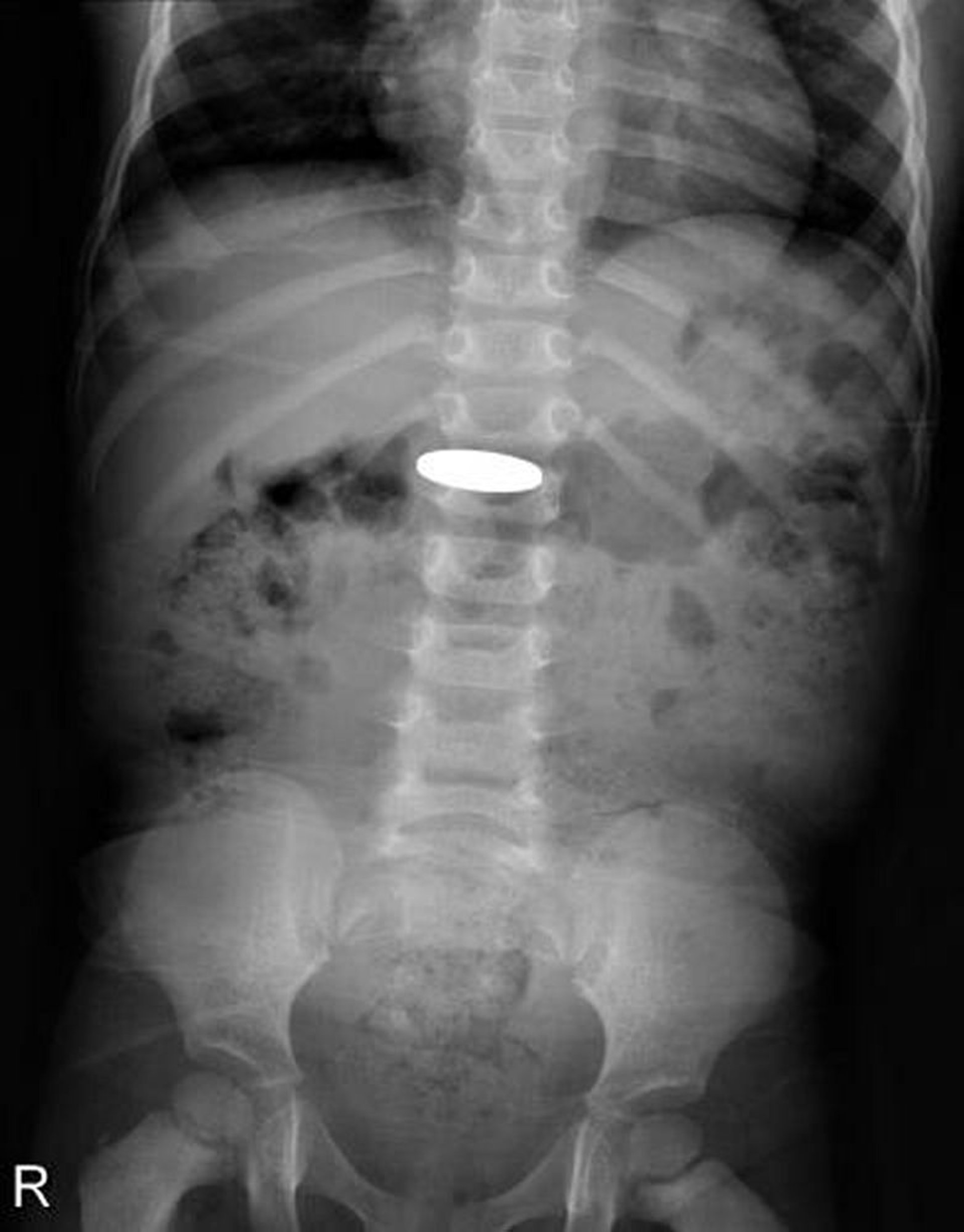
Инородное тело в желудочно-кишечном тракте (рентгеновский снимок)

Инородное тело в желудочно-кишечном тракте (рентгеновский снимок)

На рентгенограмме показана монета, которая была проглочена маленьким ребенком.

DU CANE MEDICAL IMAGING LTD/SCIENCE PHOTO LIBRARY