Предоставлено Вамmsd logo
This site is not intended for use in the Russian Federation
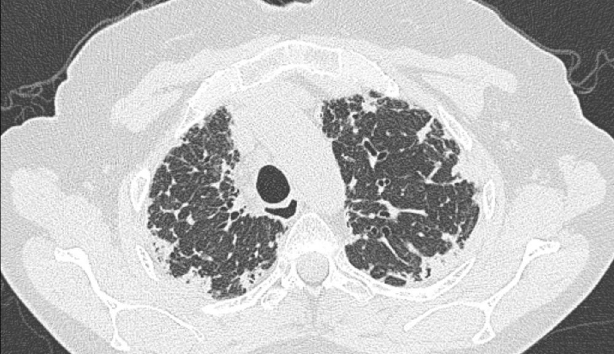
Идиопатический плевропаренхиматозный фиброэластоз (КТ-сканирование)

Идиопатический плевропаренхиматозный фиброэластоз (КТ-сканирование)

КТ-скан грудной клетки показывает плевральное и субплевральное утолщение.

Image courtesy of Joyce S. Lee, MD, MAS.