Дивертикулит (КТ-сканирование)
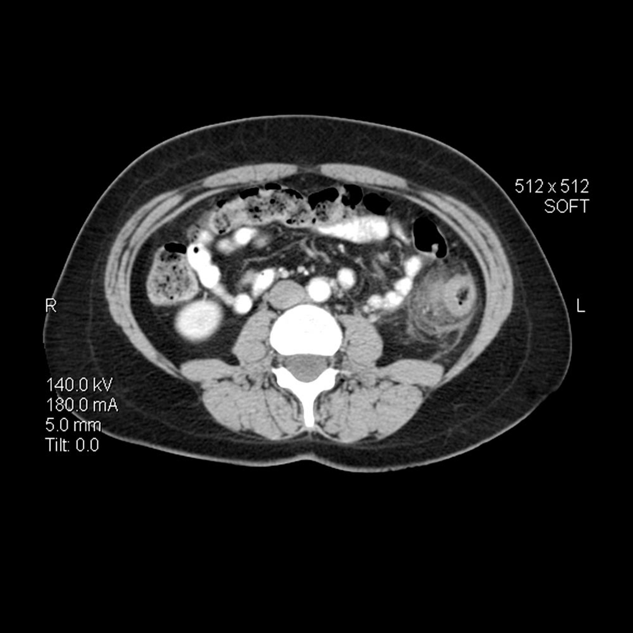
На этом осевом (поперечном) КТ- снимке живота у человека с дивертикулитом утолщена стенка нисходящей ободочной кишки. В окружающем кишечник висцеральном жире также имеются воспалительные прожилки с повышенной плотностью.
LIVING ART ENTERPRISES, LLC/SCIENCE PHOTO LIBRARY
По этим темам
