Вывих надколенника (рентгеновское исследование)
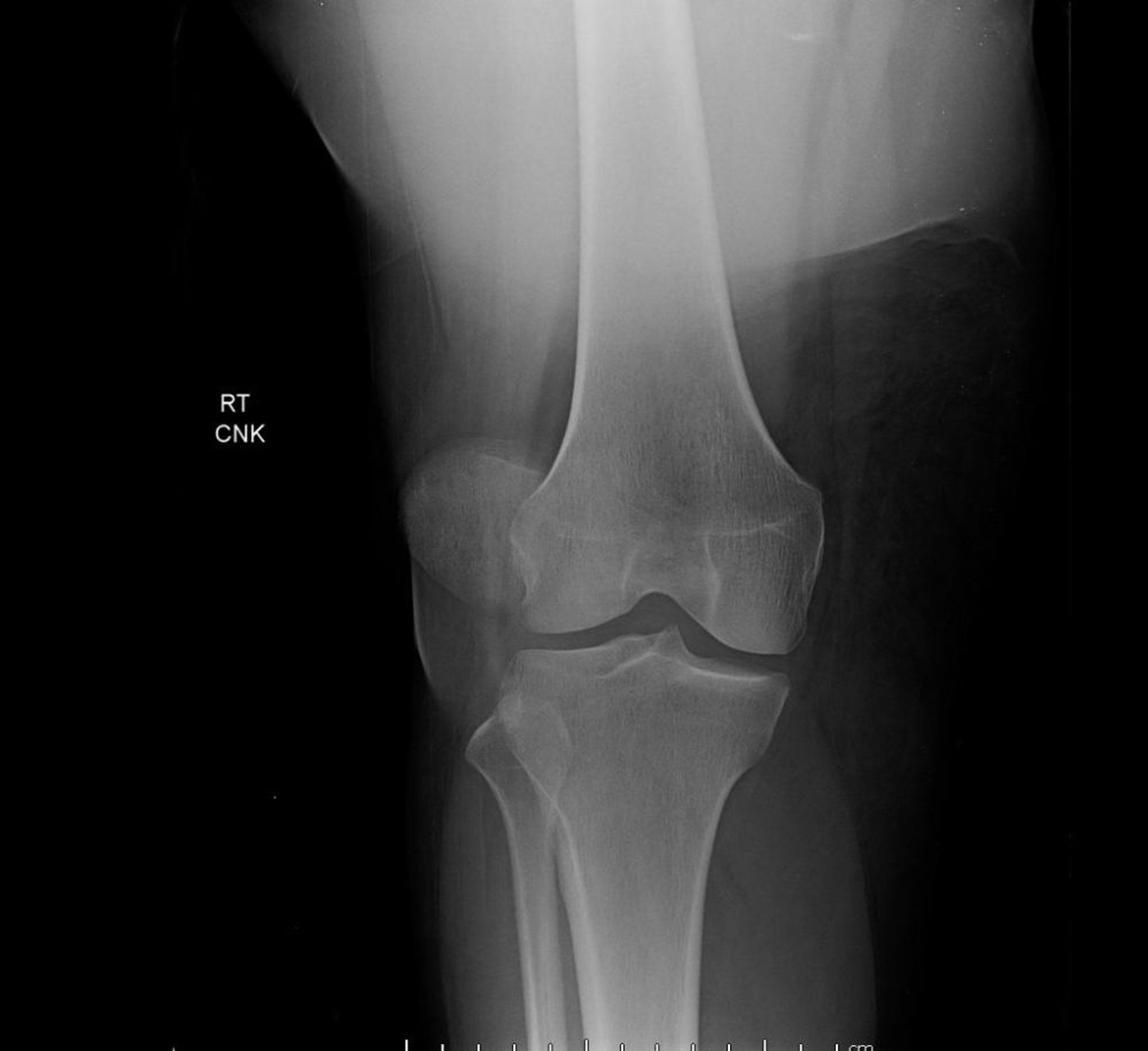
На данной переднезадней проекции колена показан вывих надколенника, характеризующийся крайним боковым смещением надколенника наружу от его нормального положения между мыщелками бедренной кости.
Image courtesy of Danielle Campagne, MD.
По этим темам
