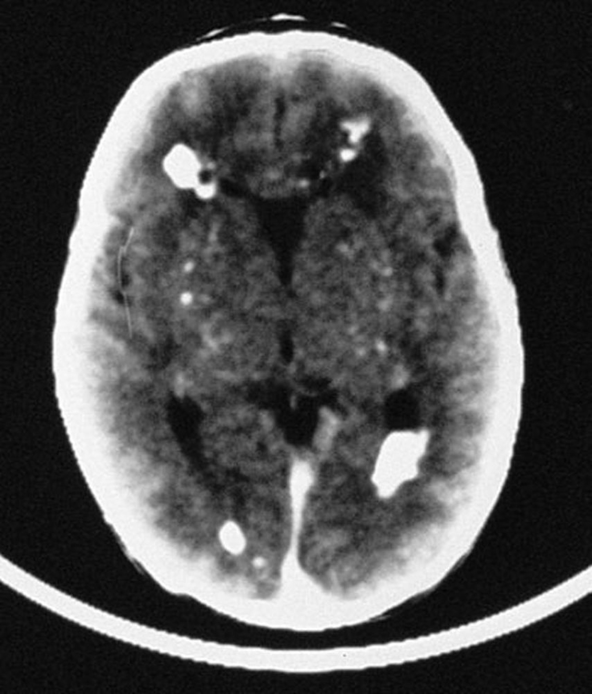
Врожденная цитомегаловирусная инфекция
Как видно на этом рисунке, КТ выявляет множественные внутричерепные участки кальцификации, в основном перивентрикулярные по расположению, но также вовлекающие сосудистые структуры головного мозга.
By permission of the publisher. From Demmler G: Congenital and perinatal infections. In Atlas of Infectious Diseases: Pediatric Infectious Diseases. Edited by CM Wilfert. Philadelphia, Current Medicine, 1998.
По этим темам
