Бластомикоз
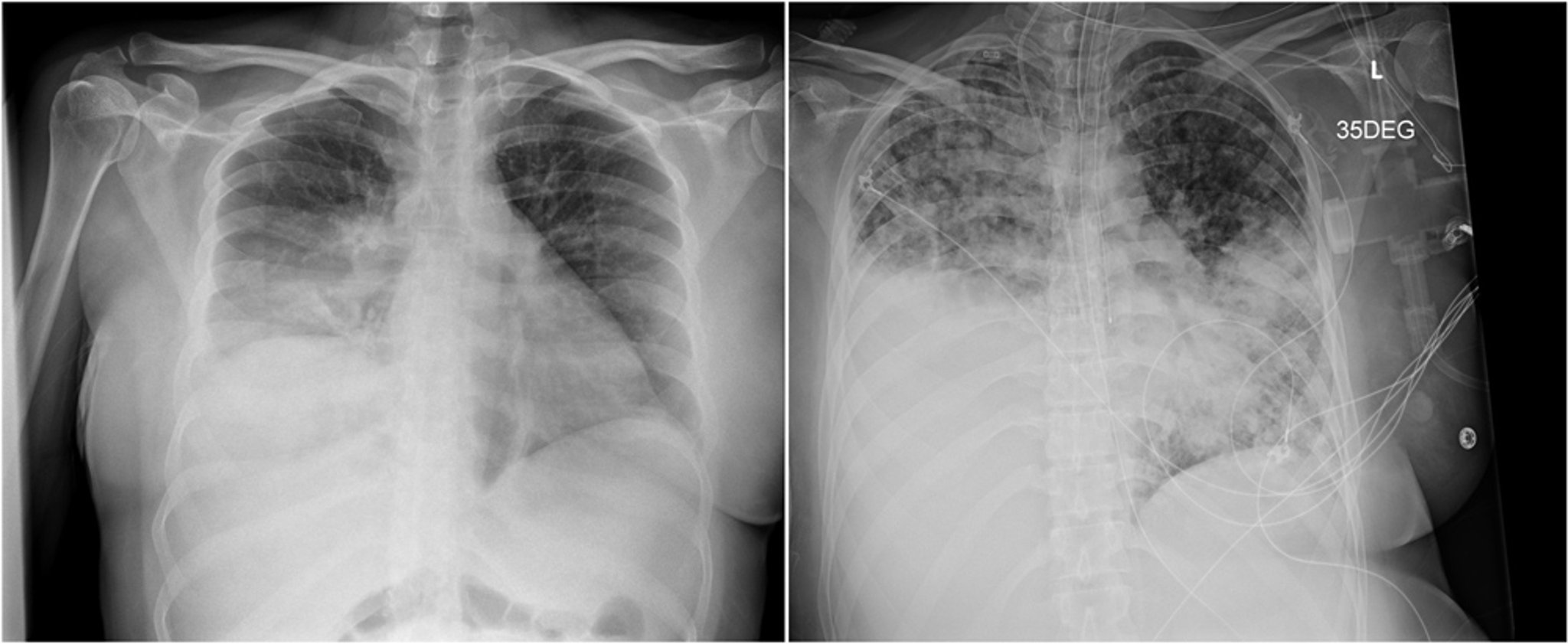
Рентгенограмма слева показывает уплотнение в нижней доли правого легкого, которое было ошибочно принято за бактериальную пневмонию. Рентгеновский снимок справа, сделанный спустя три недели, показывает прогрессирование заболевания с неоднородными двусторонними затемнениями в воздушном пространстве и массивным уплотнением в нижней доле правого легкого.
Images courtesy of Paschalis Vergidis, MD, MSc.
По этим темам
