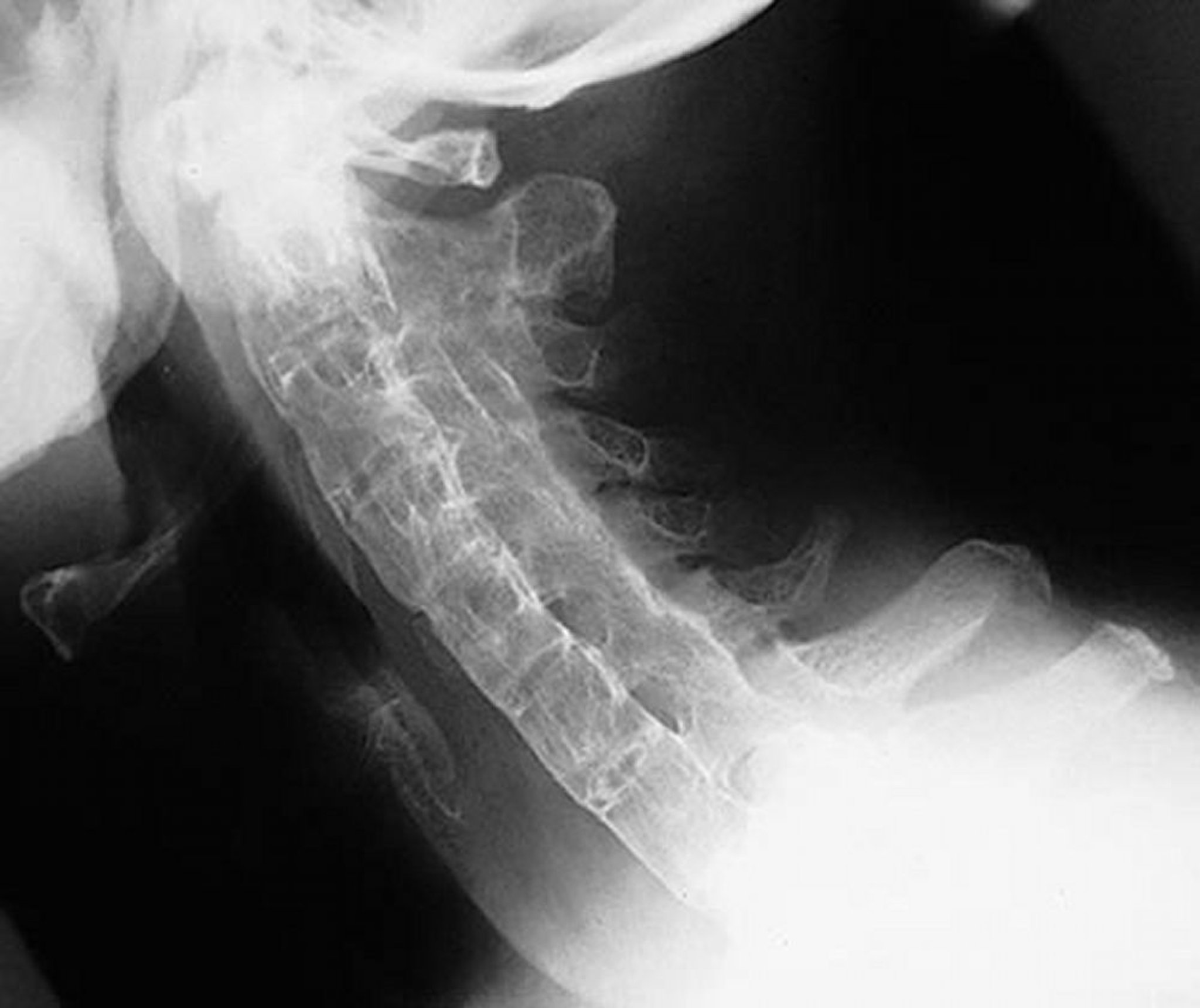
"Бамбуковый позвоночник" при анкилозирующем спондилите
На этом латеральном изображении шейного отдела позвоночника показано окостенение шейного отдела позвоночника у пациента с тяжелым давним анкилозирующим спондилитом. Позвоночник полностью анкилозирован («бамбуковый позвоночник») благодаря синдесмофитам, слитым фасеточным (апофизарным) суставам и параспинальной кальцификации связок.
By permission of the publisher. From Asim Khan M: Atlas of Rheumatology. Edited by G Hunder. Philadelphia, Current Medicine, 2005.
По этим темам
