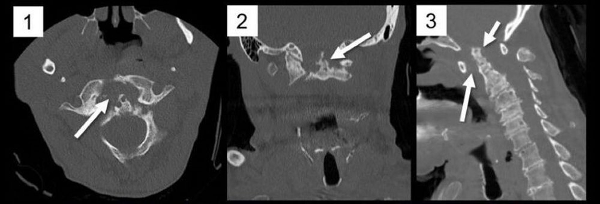
Атлантоаксиальный подвывих (КТ)
На многоплоскостных реформациях компьютерной томографии шейного отдела позвоночника в осевой (1), фронтальной (2) и сагиттальной (3) плоскостях наблюдается заметное расширение переднего атлантодентального промежутка (АДП), вследствие образования паннуса, что происходит при ревматоидном артрите (РА) (1, стрелка; 3, длинная стрелка), вызывая задний подвывих и платибазию от зубовидного отростка C2 (3, короткая стрелка). Зубовидный отросток заметно эрозирован (2, стрелка), типичная находка при РА.
Image courtesy of A. John Tsiouris, MD.
По этим темам
