Атеросклероз Менкеберга
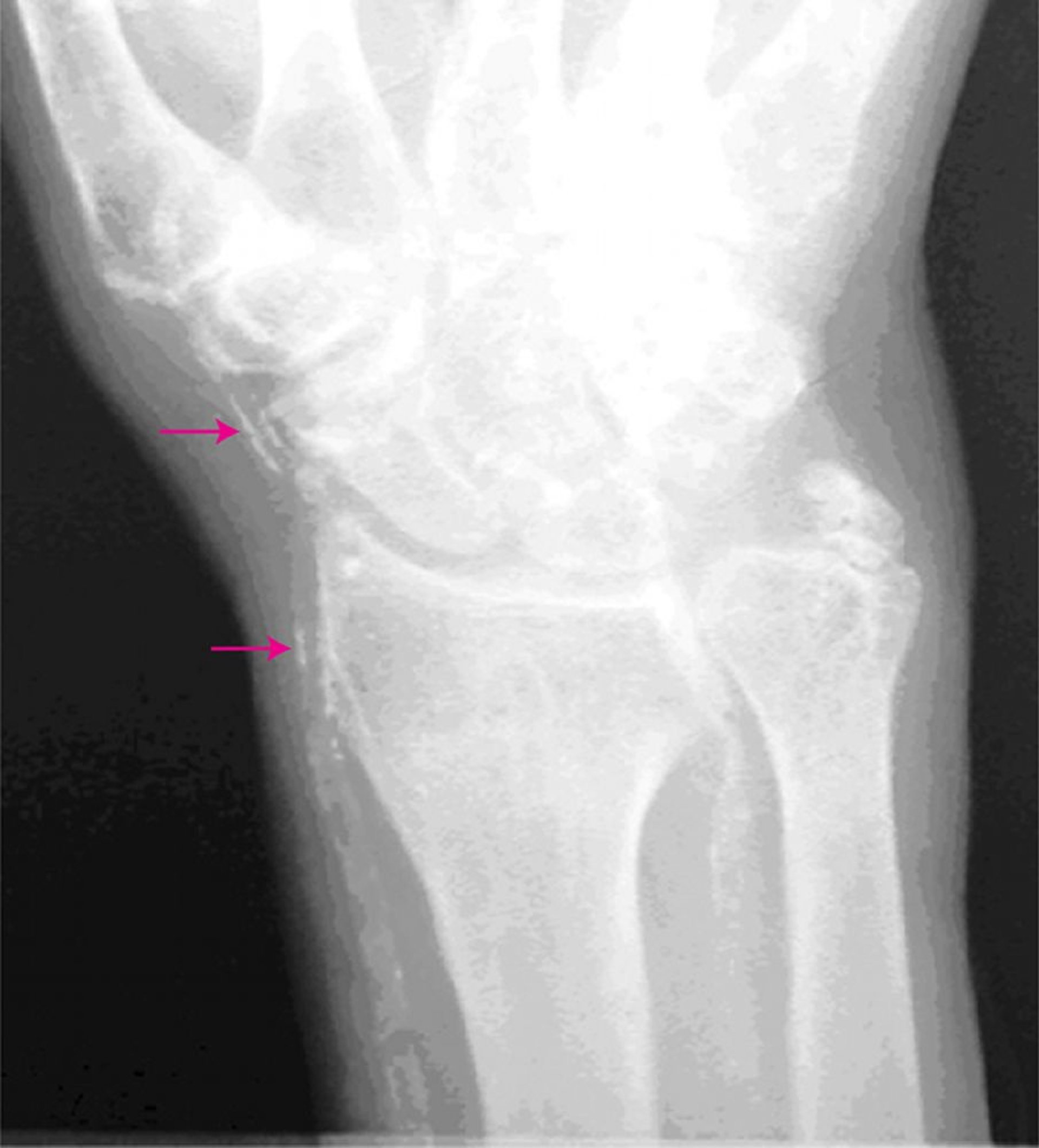
Этот рентгеновский снимок руки показывает кальцинированные артерии (стрелки).
© Springer Science+Business Media
По этим темам
Этот рентгеновский снимок руки показывает кальцинированные артерии (стрелки).
© Springer Science+Business Media