Иммуноглобулин A (IgA) нефропатия — это отложение иммунных комплексов IgA в клубочках, проявляющееся как медленно прогрессирующая гематурия, протеинурия и, часто, хроническая болезнь почек. Диагностика основывается на результатах анализа мочи и биопсии почек. Лечение включает ингибиторы ангиотензин-превращающего фермента (АПФ), блокаторы рецепторов ангиотензина II (БРА), кортикостероиды и иногда другие иммунодепрессанты. Прогноз в целом благоприятный.
(См. также Обзор нефритического синдрома).
IgA-нефропатия – это нефритический синдром, форма хронического гломерулонефрита, характеризующаяся накоплением IgA- иммунных комплексов в клубочках. Это наиболее распространенная форма гломерулонефрита во всем мире, и она чаще встречается в азиатских и некоторых европейских странах, чем в африканских и южноамериканских странах (1). Она встречается в любом возрасте, с пиком заболеваемости в 20-30 лет, и обычно поражает мужчин чаще, чем женщин, хотя распространенность варьируется по всему миру (2, 3). У значительного числа здоровых людей обнаруживаются IgA-отложения в почках, но не у всех людей с IgA-отложениями развивается клиническое заболевание.
Причина неизвестна, но данные свидетельствуют о том, что может существовать несколько механизмов, в том числе:
Увеличение продукции IgA1
Гликозилирование дефектного IgA1 создает повышенное связывание с мезангиальными клетками
Уменьшение клиренса IgA1
Нарунения иммунной системы слизистой оболочки
Избыточная выработка цитокинов, стимулирующих пролиферацию мезангиальных клеток
Также описан семейный характер заболеваемости, что свидетельствует о генетической природе заболевания, по крайней мере в некоторых случаях.
Функция почек изначально нормальная, но может развиться симптоматическое заболевание почек. У некоторых пациентов болезнь проявляется острой почечной недостаточностью или хронической болезнью почек, тяжелой артериальной гипертензией или нефротическим синдромом.
Общие справочные материалы
1. Schena FP, Nistor I. Epidemiology of IgA Nephropathy: A Global Perspective. Semin Nephrol 2018;38(5):435-442. doi:10.1016/j.semnephrol.2018.05.013
2. Goto K, Imaizumi T, Hamada R, et al. Renal pathology in adult and paediatric population of Japan: review of the Japan renal biopsy registry database from 2007 to 2017. J Nephrol 2023;36(8):2257-2267. doi:10.1007/s40620-023-01687-9
3. Lee M, Suzuki H, Nihei Y, Matsuzaki K, Suzuki Y. Ethnicity and IgA nephropathy: worldwide differences in epidemiology, timing of diagnosis, clinical manifestations, management and prognosis. Clin Kidney J 2023;16(Suppl 2):ii1-ii8. doi:10.1093/ckj/sfad199
Симптомы и признаки IgA-нефропатии
Самыми распространенными проявлениями являются постоянная или рецидивирующая макрогематурия или бессимптомная микрогематурия с умеренной протеинурией. Боль в боку и умеренная лихорадка могут сопровождать острые приступы. Другие симптомы обычно не выражены.
Макрогематурия обычно начинается через 1 или 2 дня после лихорадки на фоне заболеваний слизистых оболочек (верхних дыхательных путей, пазух, кишечника), имитируя острый постинфекционный гломерулонефрит, за исключением более раннего начала гематурии, (совпадающего с лихорадкой или следующего непосредственно за ней). Когда это происходит при заболевании верхних дыхательных путей, ее иногда называют синфарингитной гематурией.
Быстро прогрессирующий гломерулонефрит является первым проявлением заболевания у приблизительно 5% пациентов (1).
Справочные материалы по симптоматике
1. Shimizu A, Takei T, Moriyama T, Itabashi M, Uchida K, Nitta K. Clinical and pathological studies of IgA nephropathy presenting as a rapidly progressive form of glomerulonephritis. Intern Med 2013;52(22):2489-2494. doi:10.2169/internalmedicine.52.0420
Диагностика IgA-нефропатии
Общий анализ мочи
Биопсия почки
Диагноз предполагается на основании следующих данных:
Макрогематурия, особенно в течение 2 дней после лихорадки на фоне инфекции слизистой оболочки или боли в боку
Случайно выявленные отклонения в анализе мочи
При умеренных или тяжелых клинических проявлениях диагноз подтверждается при помощи биопсии.
Анализ мочи выявляет микрогематурию, обычно с дисморфными эритроцитами и время от времени эритроцитарными цилиндрами. Лёгкая протеинурия (< 1 г/сутки) является типичной и может наблюдаться без гематурии; нефротический синдром развивается приблизительно у 10 % пациентов (1). Концентрации креатинина плазмы крови обычно в норме.
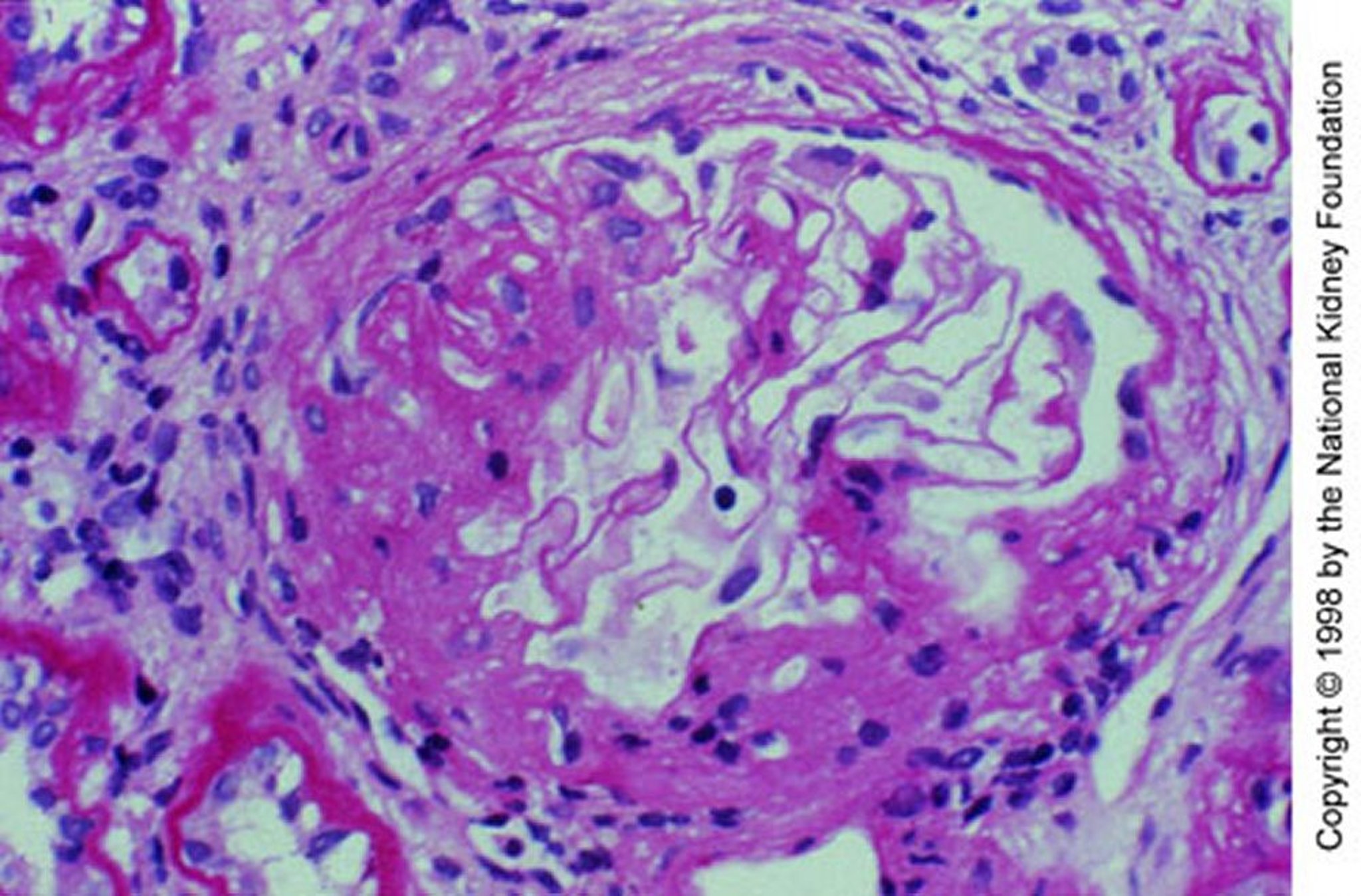
Image provided by Agnes Fogo, MD, and the American Journal of Kidney Diseases' Atlas of Renal Pathology (see www.ajkd.org).
Image provided by Agnes Fogo, MD, and the American Journal of Kidney Diseases' Atlas of Renal Pathology (see www.ajkd.org).
Биопсия почек показывает гранулярные включения IgA и комплемента (СЗ) при иммунофлюоресцентном окрашивании в расширенном мезангии с очагами сегментарных пролиферативных или некротических изменений. Важно отметить, что мезангиальные отложения IgA неспецифичны и встречаются также и при многих других заболеваниях, включая иммуноглобулин А-васкулит, цирроз печени, воспалительные заболевания кишечника, целиакию, псориаз, ВИЧ-инфекцию, рак легких и некоторые системные ревматические заболевания.
Отложения IgA в клубочках почек является основным признаком иммуноглобулин A-васкулита, а по результатам биопсии патология может быть неотличима от IgA-нефропатии, что дает основания предполагать, что иммуноглобулин А-васкулит может быть системной формой IgA-нефропатии. Однако иммуноглобулин А-васкулит клинически отличается от IgA-нефропатии, обычно проявляясь гематурией, пурпурной сыпью, артралгиями и болями в животе.
Необходимости в проведении других иммунологических тестов сыворотки обычно нет. Концентрации комплементов обычно в норме. Концентрация IgA может быть повышена, также могут присутствовать циркулирующие комплексы IgA-фибронектин; однако эти данные не позволяют установить точный диагноз.
Справочные материалы по диагностике
1. Kim JK, Kim JH, Lee SC, et al. Clinical features and outcomes of IgA nephropathy with nephrotic syndrome. Clin J Am Soc Nephrol 2012;7(3):427-436. doi:10.2215/CJN.04820511
Лечение IgA-нефропатии
Часто применяются ингибиторы ангиотензин-превращающего фермента (АПФ) или блокаторы рецепторов ангиотензина-II (БРА) при гипертензии, уровне сывороточного креатинина > 1,2 мг/дл (106,08 мкмоль/л), или макроальбуминурии (содержание белка в моче > 300 мг/день), а также при целевом содержании белка в моче < 500 мг/день
Двойной антагонист рецепторов эндотелина и ангиотензина (например, спарсентан) показан пациентам с риском быстрого прогрессирования заболевания
При персистирующей протеинурии, несмотря на ингибирование ангиотензина, может быть добавлен ингибитор натрий-глюкозного котранспортера 2 (SGLT2)
При прогрессирующем заболевании, включая повышение протеинурии, особенно в нефротическом диапазоне (≥ 3 г/день), и возрастании уровня сывороточного креатинина используются кортикостероиды
Кортикостероиды и циклофосфамид при пролиферативном повреждении или быстро прогрессирующем гломерулонефрите
Трансплантация - на поздних стадиях заболевания.
Пациенты с нормальным артериальным давлением, сохраненной функцией почек (сывороточный креатинин < 1,2 мг/дл [106,08 мкмоль/л]) и только легкой протеинурией (< 0,5 г/день) обычно не получают лечения, помимо ингибирования ангиотензина (с помощью ингибитора АПФ или БРА) и ингибитора SGLT2. Пациентам с более тяжелым заболеванием почек или более выраженной протеинурией и гематурией обычно назначают кортикостероиды, которые в идеале следует начинать до развития значительного заболевания почек.
Ингибирование ангиотензина при Ig A-нефропатии
Ингибиторы АПФ или АРА II используются на том основании, что они снижаютартериальное давление, уменьшают протеинурию и выраженность гломерулярного фиброза. Пациенты с генотипом DD гена АПФ могут находиться под бо́льшим риском прогрессирования болезни, однако также могут с большей вероятностью лучше реагировать на ингибиторы АПФ или БРА. Для пациентов с артериальной гипертензией ингибиторы АПФ или БРА являются антигипертензивными препаратами выбора даже при относительно умеренной выраженности хронической болезни почек.
Двойные антагонисты рецепторов эндотелина
Спарсентан, двойной антагонист рецепторов эндотелина, используется для лечения протеинурии у пациентов с IgA-нефропатией, у которых есть риск быстрого прогрессирования заболевания (определяется как соотношение белка в моче к креатинину ≥ 1,5). Его не следует использовать в качестве начального лечения, а скорее как лекарство выбора, когда ингибитор АПФ или блокатор рецепторов ангиотензина оказывается неэффективным. Ингибитор АПФ или БРА следует отменить перед началом приёма двойного антагониста рецепторов эндотелина (1).
Ингибиторы натрий-глюкозного котранспортера 2 типа
Ингибитор SGLT2 может также использоваться у пациентов с протеинурией на фоне IgA-нефропатии, которая не купируется ингибиторами АПФ или БРА. В предварительно определенном анализе подгрупп пациентов с IgA-нефропатией ингибиторы НГЛТ-2 (которые улучшают результаты у пациентов с протеинурией, обусловленной диабетической болезнью почек) снижали риск прогрессирования хронической болезни почек (2).
Кортикостероиды и иммунодепрессанты при IgA нефропатиии
Для пациентов с высоким риском прогрессирования заболевания (т.е. протеинурией ≥ 1 г/день, расчетной скоростью клубочковой фильтрации [рСКФ] 20–120 мл/мин на 1,73 м2 после по крайней мере 3 месяцев поддерживающей терапии) было показано, что кортикостероиды замедляют скорость прогрессирования заболевания до почечной недостаточности (3). Прием более высоких доз кортикостероидов связан с более серьезными нежелательными явлениями (например, с инфекцией, требующей госпитализации).
Единого мнения среди специалистов относительно оптимального режима назначения кортикостероидов нет, за исключением того, что длительность терапии должна составлять не менее 6 месяцев (4).
Из-за риска побочных эффектов, кортикостероиды, вероятно, должны быть в резерве для пациентов с любым из следующего:
Усиление или персистенция протеинурии (> 1 г/день), особенно в диапазоне нефротической протеинурии, несмотря на максимально интенсивную терапию ингибитором АПФ или БРА
Повышающийся уровень сывороточного креатинина
Комбинации кортикостероидов и циклофосфамида внутривенно в сочетании с преднизоном перорально используются при болезни тяжелой степени, такой как пролиферативная или серповидная (быстро прогрессирующая) нефропатия. Доказательства в пользу использования мофетил микофенолата являются противоречивыми; он не должен применяться в качестве терапии первой линии. Ни один из этих препаратов, однако, не предотвращает рецидива у пациентов после трансплантации. Следует также избегать использования иммуносупрессивной терапии для пациентов с прогрессирующей фиброзной болезнью почек, которая является необратимой.
Другие варианты лечения
Хотя для снижения избыточной продукции IgA и ингибирования мезангиальной пролиферации были предприняты и другие меры, данные, подтверждающие их применение, ограничены или отсутствуют, и ни одна из них не может быть рекомендована для планового лечения. Эти вмешательства включают исключение из диеты глютена, молочных продуктов, яиц и мяса; тонзиллэктомию; и внутривенное введение иммуноглобулина в течение 3 месяцев с последующим внутримышечным введением иммуноглобулина в течение 6 месяцев. Все они теоретически снижают продукцию IgA. Гепарин, дипиридамол и статины – вот только несколько примеров ингибиторов пролиферации мезангиальных клеток in vitro.
Для пациентов, у которых развивается почечная недостаточность, трансплантация почки предпочтительнее диализа поскольку она обеспечивает лучший долгосрочный прогноз без рецидивов заболевания. Рецидив заболевания наблюдается примерно у 30% реципиентов трансплантатов (5).
Справочные материалы по лечению
1. Rovin BH, Barratt J, Heerspink HJL, et al: Efficacy and safety of sparsentan versus irbesartan in patients with IgA nephropathy (PROTECT): 2-year results from a randomised, active-controlled, phase 3 trial. Lancet 402(10417):2077-2090, 2023. doi:10.1016/S0140-6736(23)02302-4
2. Wheeler DC, Toto RD, Stefánsson BV, et al: A pre-specified analysis of the DAPA-CKD trial demonstrates the effects of dapagliflozin on major adverse kidney events in patients with IgA nephropathy. Kidney Int 100(1):215-224, 2021. doi: 10.1016/j.kint.2021.03.033
3. Lv J, Wong MG, Hladunewich MA, et al: Effect of oral methylprednisolone on decline in kidney function or kidney failure in patients with IgA nephropathy: The TESTING randomized clinical trial. JAMA 327(19):1888-1898, 2022. doi: 10.1001/jama.2022.5368
4. Kidney Disease: Improving Global Outcomes (KDIGO) Glomerular Diseases Work Group. KDIGO 2021 Clinical Practice Guideline for the Management of Glomerular Diseases. Kidney Int 100(4S):S1-S276, 2021. doi:10.1016/j.kint.2021.05.021
5. Jäger C, Stampf S, Molyneux K, et al: Recurrence of IgA nephropathy after kidney transplantation: Experience from the Swiss transplant cohort study. BMC Nephrol 23(1):178, 2022. doi: 10.1186/s12882-022-02802-x
Прогноз при IgA-нефропатии
IgA-нефропатия имеет гетерогенное течение заболевания, но обычно прогрессирует медленно; может развиться хроническое заболевание почек. У пациентов без гипертонии на момент обращения она может развиться впоследствии. Прогрессия до почечной недостаточности вариабельна, встречается у 5-60% пациентов после 10 лет заболевания (1). Если IgA-нефропатия диагностирована в детстве, прогноз обычно благоприятный. Однако стойкая гематурия неизбежно приводит к артериальной гипертензии, протеинурии и хронической болезни почек. Факторы риска развития почечной недостаточности:
Протеинурия > 1 г/день
Повышенный уровень креатинина в сыворотке
Неконтролируемая артериальная гипертензия
Стойкая микрогематурия
Выраженные гломерулярные или интерстициальные фиброзные изменения
Полулуния при биопсии
Справочные материалы по прогнозу
1. Barbour SJ, Coppo R, Zhang H, et al. Evaluating a New International Risk-Prediction Tool in IgA Nephropathy [published correction appears in JAMA Intern Med. 2019 Jul 1;179(7):1007. doi: 10.1001/jamainternmed.2019.2030]. JAMA Intern Med 2019;179(7):942-952. doi:10.1001/jamainternmed.2019.0600
Основные положения
Иммуноглобулин А (IgA)-нефропатия является наиболее распространенной причиной гломерулонефрита во всем мире, она наиболее часто встречается среди молодых людей в странах Азии и Европы.
Диагноз следует заподозрить у пациентов с признаками гломерулонефрита невыясненной этиологии, особенно если он возникает в течение 2 дней после лихорадки или проявляется болями в боку.
Пациентов с уровнем креатинина > 1,2 мг/дл (106,08 мкмоль/л) или протеинурией > 300 мг/день следует лечить ингибиторами ангиотензин-превращающего фермента (АПФ) или блокаторами рецепторов ангиотензина II (БРА), а впоследствии ингибиторами натрий-глюкозного котранспортера 2-го типа (SGLT2) или двойным антагонистом рецепторов эндотелина и ангиотензина (для пациентов с риском быстрого прогрессирования заболевания), если протеинурия сохраняется.
Кортикостероиды следует использовать для пациентов с ухудшением функции почек или протеинурией (> > 1 г/день), несмотря на лечение ингибиторами АПФ или БРА плюс ингибитор SGLT2 или двойной антагонист рецепторов эндотелин-ангиотензина.
Пациентам с пролиферативным повреждением или быстро прогрессирующим гломерулонефритом назначается лечение кортикостероидами и циклофосфамидом.
