Разрыв пищевода может быть ятрогенным при выполнении эндоскопических процедур или других манипуляциях или спонтанным (синдром Бурхаве). Состояние пациентов тяжелое, выражены признаки медиастинита. Диагноз устанавливается эзофагографией с водорастворимым контрастным веществом. Необходимо экстренное ушивание пищевода и дренирование.
(См. также Обзор заболеваний пищевода и нарушений глотательного рефлекса).
Эндоскопические процедуры являются главной причиной разрыва пищевода, но спонтанный разрыв обычно связан с рвотой, позывами на рвоту или при проглатывании большого куска пищи.
Спонтанный разрыв особенно вероятен у пациентов с нелеченным эозинофильным эзофагитом.
Наиболее часто разрыв пищевода возникает в дистальной его части на левой стороне. Кислота и содержимое желудка вызывают фульминантный медиастинит и шок. Характерен пневмомедиастинум.
Симптомы и признаки разрыва пищевода
Симптомы разрыва пищевода включают боль в груди и животе, лихорадку, рвоту, гематомезис и шок.
У некоторых пациентов пальпируется подкожная эмфизема.
В области средостения может выслушиваться крепитация (симптом Хаммена) - своеобразные хрустящие или "щелкающие" шумы, синхронизированные с сердечными сокращениями.
Диагностика разрыва пищевода
Рентгенограммы органов грудной клетки и брюшной полости
Эзофагография
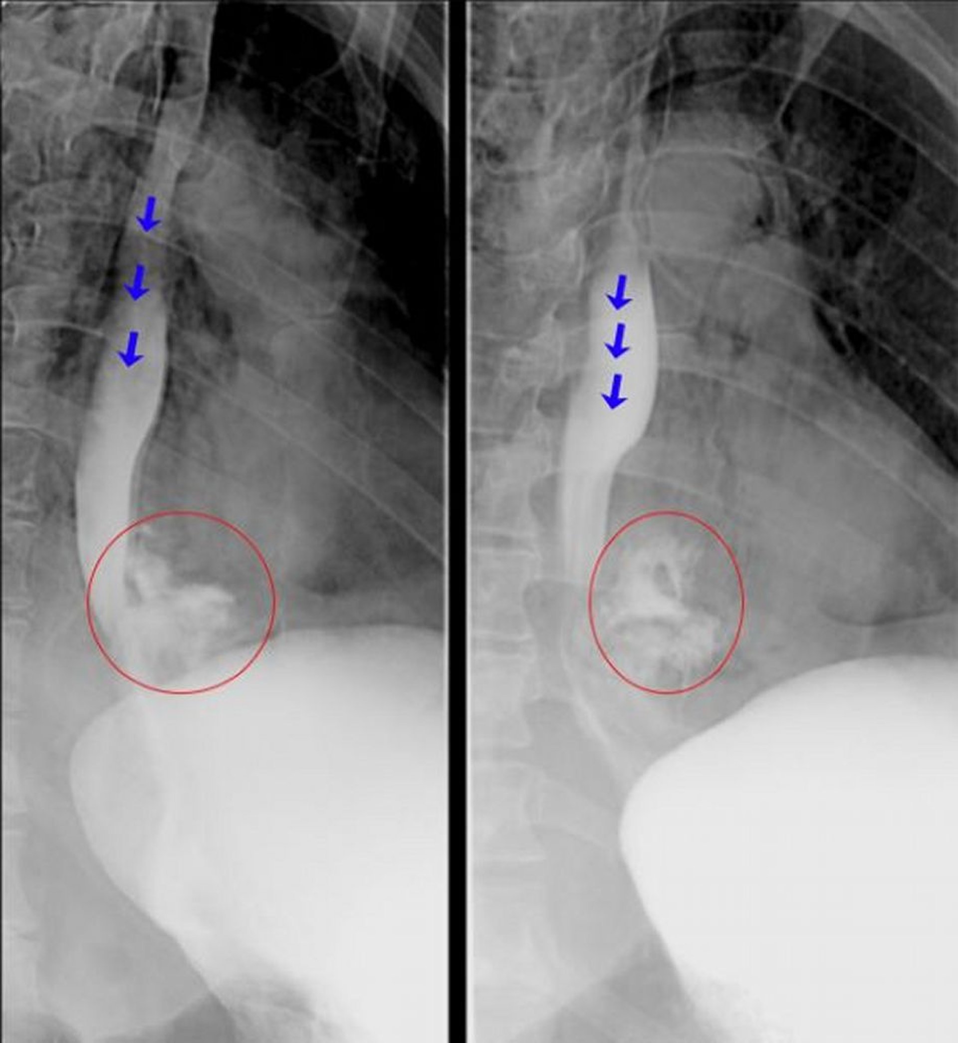
Эти рентгеноскопические эзофагограммы показывают явную экстравазацию контрастного вещества из дистального отдела пищевода, что согласуется с диагнозом перфорации пищевода. Синие стрелки указывают на контрастное вещество в просвете пищевода. Красными кружками выделено контрастное вещество, вышедшее из пищевода.
© Springer Science+Business Media
Воздух в средостении, жидкость в плевральной полости и расширение средостения, выявляемые при рентгенологическом исследовании грудной клетки и брюшной полости, предполагают диагноз.
Диагноз спонтанный разрыв пищевода подтверждается эзофагографией с водорастворимым контрастом, который, в отличие от сульфата бария, не опасен при попадании в средостение. Компьютерная томография грудной клетки выявляет воздух и жидкость в средостении, но не определяет локализацию разрыва. Эндоскопическое исследование может не выявить перфорацию маленького размера.
Разрыв пищевода
Эндоскопическое стентирование или реконструктивное хирургическое вмешательство
Перед хирургическим вмешательством или эндоскопическом стентированием показано назначение антибиотиков широкого спектра действия (например, гентамицин плюс метронидазол или пиперациллин/тазобактам) и введение растворов для предупреждения шока.
Даже на фоне лечения смертность высокая.



