Лимфома Беркитта представляет собой агрессивную В-клеточную неходжкинскую лимфому, встречающуюся у детей и взрослых. Существуют эндемическая, спорадическая и иммунодефицитная формы заболевания.
(См. также Обзор лимфомы и Неходжкинские лимфомы).
Классическая лимфома Беркитта эндемична в Центральной Африке и составляет 30% лимфом у детей в США. Эндемичная форма, как правило, манифестирует увеличением нижней челюсти и костей лицевого черепа.
На фотографии показана крупная опухоль челюсти у пациента с лимфомой Беркитта.
M.A. ANSARY/SCIENCE PHOTO LIBRARY
При спорадической лимфоме Беркитта поражаются внутрибрюшные лимфоузлы, часто возникающее в области илеоцекального клапана или брыжейки. Опухоль может вызывать кишечную непроходимость. Также могут поражаться экстранодальные участки, такие как мозг или другие паренхиматозные органы. У взрослых заболевание может иметь обширный и генерализованный характер, часто с массивным поражением печени, селезенки и костного мозга. При диагностировании или рецидиве лимфомы часто уже имеется поражение центральной нервной системы (ЦНС).
Лимфома Беркитта, связанная с иммунодефицитом, в основном встречается у пациентов с инфекцией вирусом иммунодефицита человека (ВИЧ) и реже у пациентов, которые являются реципиентами костного мозга или трансплантата солидных органов либо имеют другие причины иммунодефицита. У пациентов с ВИЧ-инфекцией лимфома Беркитта считается СПИД-индикаторной онкологической патологией.
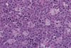
Как и у людей, имеющих здоровый иммунитет, лимфома Беркитта имеет характерную картину "звездного неба" по причине наличия большого количества макрофагов, содержащих в себе остатки разрушенных клеток (что указывает на высокую скорость обновления клеточной популяции). Опухоль также обладает высокой скоростью митоза.
By permission of the publisher. From Banks P, et al. In Atlas of Clinical Hematology. Edited by JO Armitage. Philadelphia, Current Medicine, 2004. Available at www.images.md.
Лимфома Беркитта является наиболее быстро растущей опухолью человека; при патоморфологическом исследовании определяется высокая пролиферативная активность, моноклональная пролиферация В-клеток, картина «звездного неба» – доброкачественные макрофаги, поглощающие апоптотические малигнизированные лимфоциты. На ФДГ-ПЭТ (фтордезоксиглюкоза-позитронной эмиссионной томографии) опухоли проявляются высоко метаболичными. Характерно наличие транслокации гена c-MYC на 8 хромосоме и тяжелой цепи иммуноглобулина на 14 хромосоме.
Эндемическая форма заболевания тесно связана с вирусом Эпштейна – Барр, однако до сих пор не доказано, имеет ли данный вирус этиологическую роль.
Диагностика лимфомы Беркитта
Биопсия лимфоузлов или костного мозга
Лапароскопия (редко)
Гистологический диагноз основывается на результатах биопсии лимфоузла или другого очага опухолевого поражения, например костного мозга. В редких случаях как для диагностики, так и для лечения необходимо выполнение лапароскопии.
Стадирование должно быть ускорено, поскольку опухоль быстро растет. Стадирование включает фтордезоксиглюкозную (ФДГ)-позитронно-эмиссионную томографию (ПЭТ)/КТ визуализацию опухоли; если это невозможно, вместо этого может быть проведена КТ грудной клетки, брюшной полости и таза.
Пациентам следует также выполнить биопсию костного мозга, цитологию спинномозговой жидкости и лабораторные исследования с определением лактатдегидрогеназы (ЛДГ).
Лечение лимфомы Беркитта
Интенсивная химиотерапия
В связи с быстрым ростом этих опухолей лечение должно быть начато в максимально короткие сроки. Применение интенсивного альтернирующего режима, включающего циклофосфамид, винкристин, доксорубицин, метотрексат, ифосфамид, этопозид и цитарабин (CODOX-M/IVAC) плюс ритуксимаб с успехом применяется для детей и взрослых < 60 лет (1). Для отдельных пациентов в возрасте < 60 лет и у многих пациентов > 60 лет также с успехом используется ритуксимаб в сочетании с этопозидом, преднизоном, винкристином (Oncovin) и доксорубицином (R-EPOCH с индивидуальным подбором дозы). Пациентам, у которых нет вовлечения ЦНС в патологический процесс, необходима профилактика поражения ЦНС (например, системным и/или интратекальным метотрексатом и/или цитарабином).
При лечении часто возникает синдром лизиса опухоли, и пациенты должны получать внутривенную гидратацию, аллопуринол, часто с расбуриказой, подщелачивание мочи (при отсутствии гиперфосфатемии) и пристальное внимание к электролитному составу (особенно калию, фосфору, и кальцию). Расбуриказа противопоказана пациентам с дефицитом Г6ФД, поскольку у этих пациентов она может вызвать гемолитическую анемию. Некоторые пациенты могут нуждаться в диализе при гиперкалиемии.
В случае удаления опухоли до начала лекарственного лечения (например, из-за развития кишечной непроходимости), проведение агрессивной химиотерапии тем не менее обязательно, однако потребуется меньше циклов. В конце лечения у пациентов должен определяться полный метаболический ответ, подтвержденный ПЭТ, или полный ответ, подтвержденный КТ, вместе с отрицательными результатами биопсии костного мозга.
Исходы у пациентов, у которых индукция не удалась или произошел рецидив (обычно в течение первых 12 месяцев), плохие. Следует рассмотреть возможность сальвадж-терапии или применения клинических подходов.
Справочные материалы по лечению
1. Chamuleau MED, Stenner F, Chitu DA, et al. R-CODOX-M/R-IVAC versus DA-EPOCH-R in patients with newly diagnosed Burkitt lymphoma (HOVON/SAKK): final results of a multicentre, phase 3, open-label, randomised trial. Lancet Haematol 2023;10(12):e966-e975. doi:10.1016/S2352-3026(23)00279-X
Дополнительная информация
Ниже приводится англоязычный ресурс, предоставляющий информацию для врачей, а также содействие и информацию для пациентов. Сервис The manual не несет ответственности за содержание этого ресурса.
Leukemia & Lymphoma Society: Resources for Healthcare Professionals: provides educational resources for health care practitioners as well as information for patient referrals



