Лимфома Беркитта, связанная с иммунодефицитом
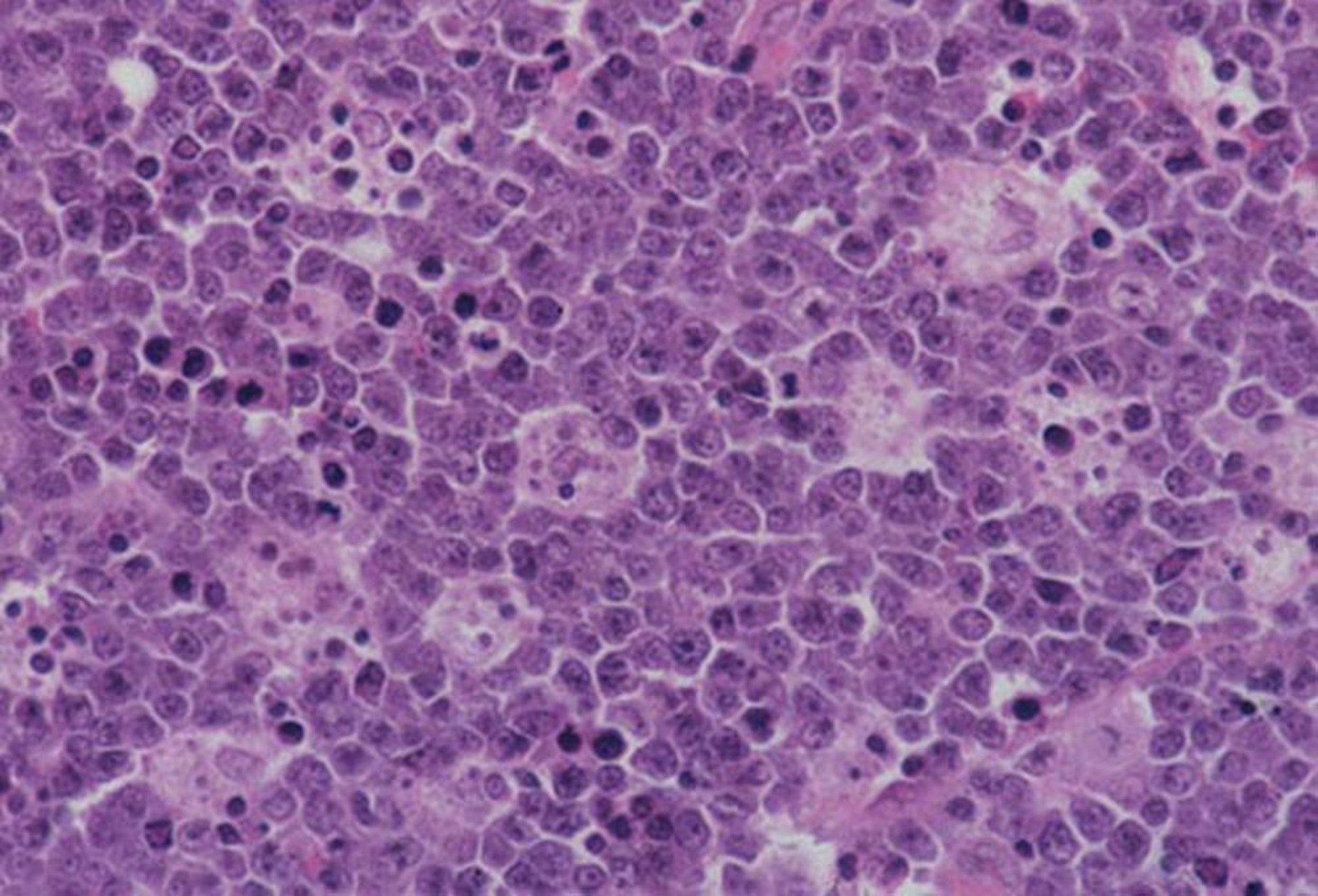
Как и у людей, имеющих здоровый иммунитет, лимфома Беркитта имеет характерную картину "звездного неба" по причине наличия большого количества макрофагов, содержащих в себе остатки разрушенных клеток (что указывает на высокую скорость обновления клеточной популяции). Опухоль также обладает высокой скоростью митоза.
By permission of the publisher. From Banks P, et al. In Atlas of Clinical Hematology. Edited by JO Armitage. Philadelphia, Current Medicine, 2004. Available at www.images.md.
По этим темам
