Волчаночный нефрит – очаговая форма (класс III)

Волчаночный нефрит – очаговая форма (класс III)

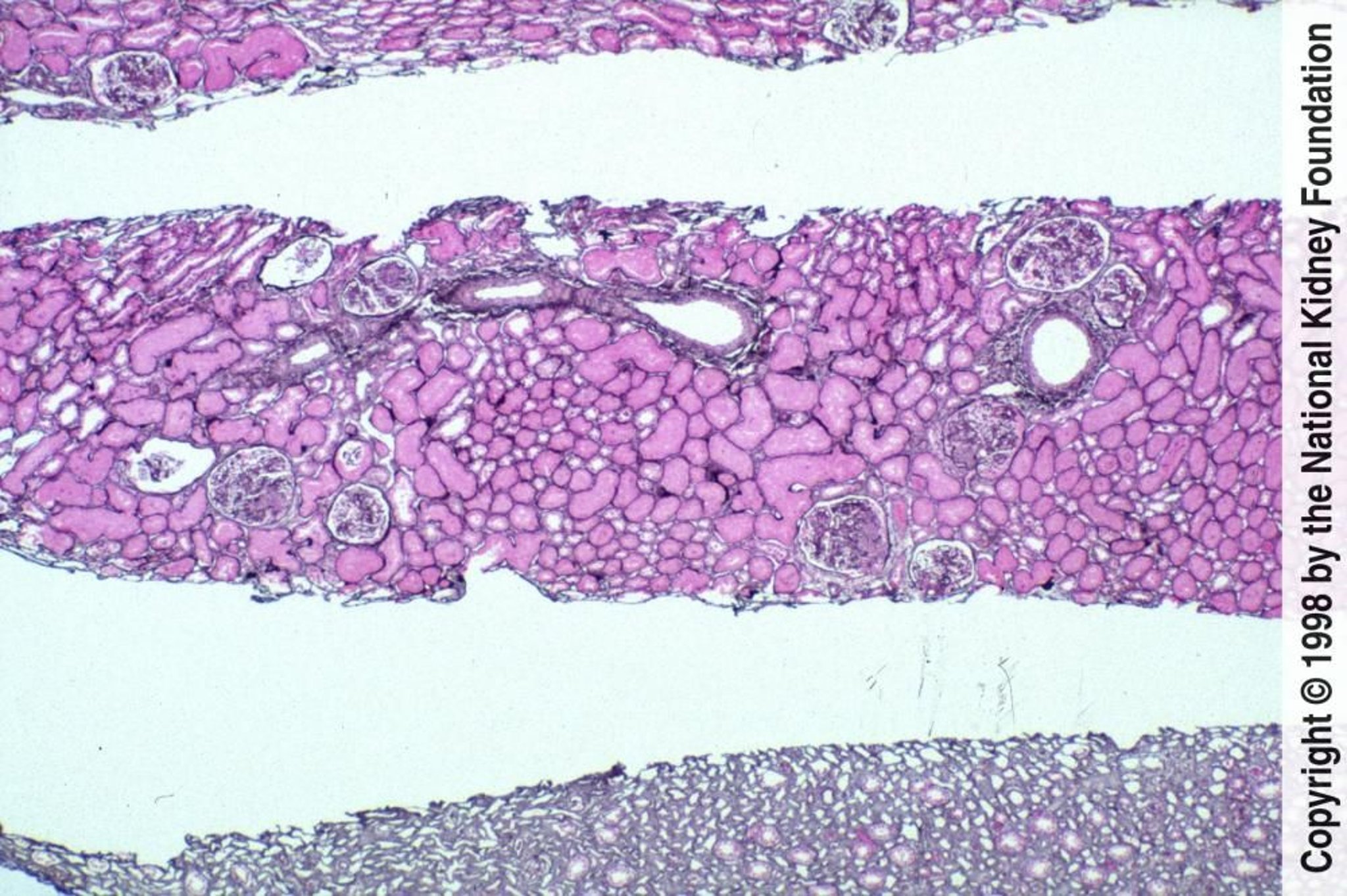
Очаговый волчаночный нефрит характеризуется эндокапиллярной пролиферацией, вызванной отложениями иммунных комплексов; в биоптате содержится < 50% пораженных клубочков.

Image provided by Agnes Fogo, MD, and the American Journal of Kidney Diseases' Atlas of Renal Pathology (see www.ajkd.org).