honeypot link
skip to main content
MSDСправочник MsdПрофессиональная версия
РАЗДЕЛЫ МЕДИЦИНЫИСТОЧНИКИКОММЕНТАРИИОПРОСЫО НАС
homeРАЗДЕЛЫ МЕДИЦИНЫ
Search icon
  1. Профессиональная/
  2. Изображения/
  3. T1-взвешенная МРТ/
    T1-взвешенная МРТ

    T1-взвешенная МРТ

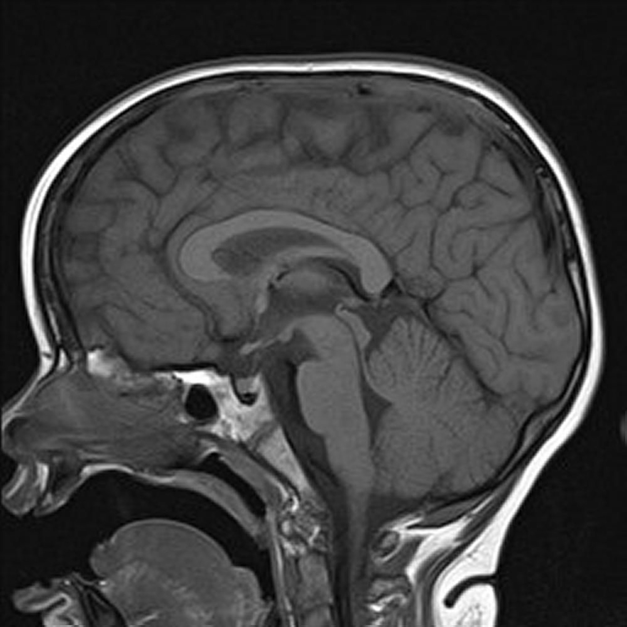
    Сагиттальное Т1-взвешенное изображение головного мозга показывает, что срединные структуры без изменений.

    Image courtesy of Hakan Ilaslan, MD.

    По этим темам
    • Магнито-резонансная томография >
    MSD
    • О нас
    • Юридическая оговорка
    • Разрешение
    • Конфиденциальность
    • Cookie Preferences
    • Условия использования
    • Лицензирование
    • Обратитесь к нам
    • Справочник по ветеринарии (только на английском языке)
    This icon serves as a link to download the eSSENTIAL Accessibility assistive technology app for individuals with physical disabilities. It is featured as part of our commitment to diversity and inclusion.
    This icon serves as a link to download the eSSENTIAL Accessibility assistive technology app for individuals with physical disabilities. It is featured as part of our commitment to diversity and inclusion.
    MSD

    Авторское право© 2025Merck & Co., Inc., Rahway, NJ, США и ее аффилированные лица. Все права сохранены.