Этмоидальный синусит с субпериостальным абсцессом

Этмоидальный синусит с субпериостальным абсцессом

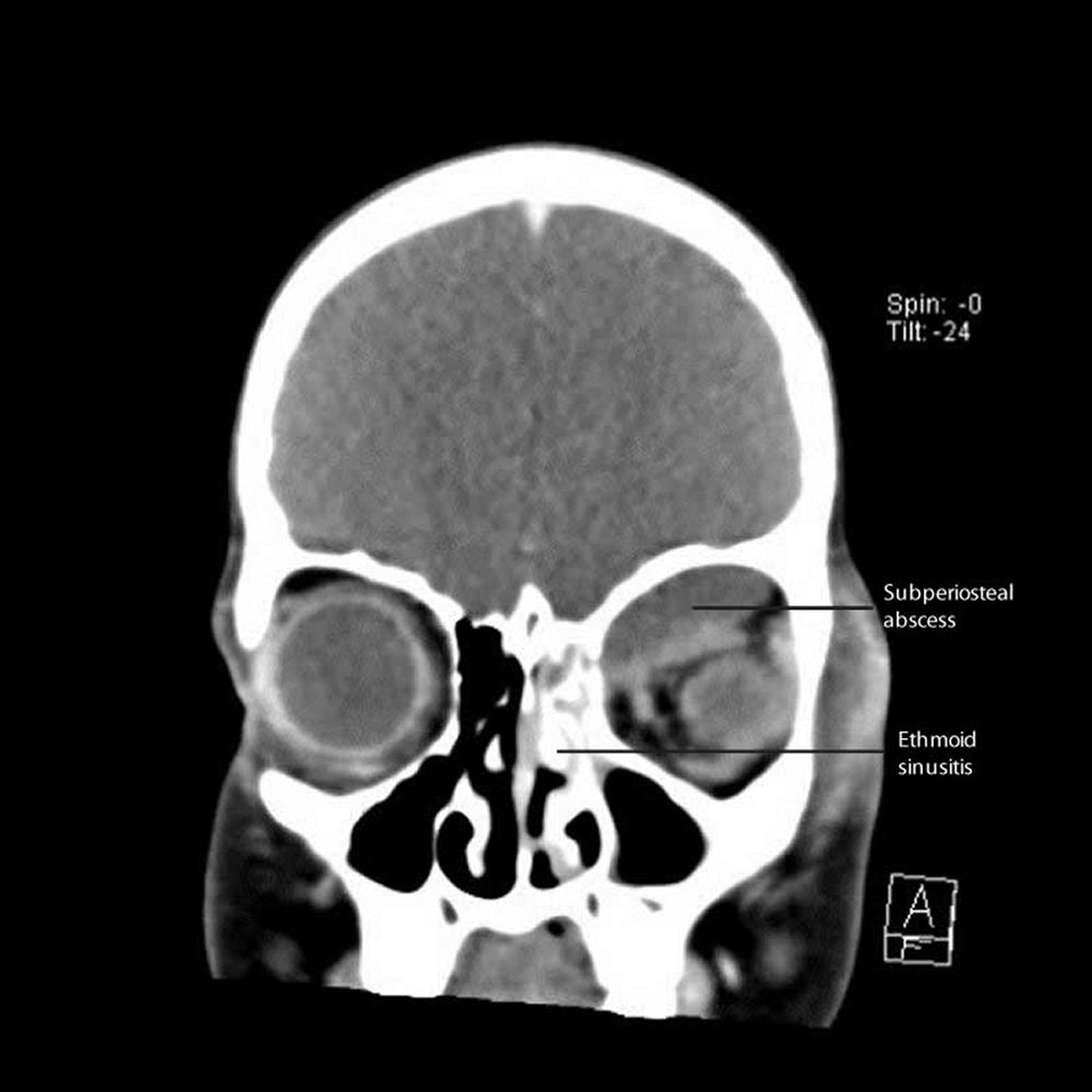
На этом снимке компьютерной томографии показан левосторонний этмоидит с прилегающим субпериостальным абсцессом вдоль медиальной и верхней стенок орбиты.

CT courtesy of James Garrity, MD.