honeypot link
skip to main content
Справочник Msd
Профессиональная версия
РАЗДЕЛЫ МЕДИЦИНЫ
ИСТОЧНИКИ
КОММЕНТАРИИ
ОПРОСЫ
О НАС
РАЗДЕЛЫ МЕДИЦИНЫ
<
Изображения
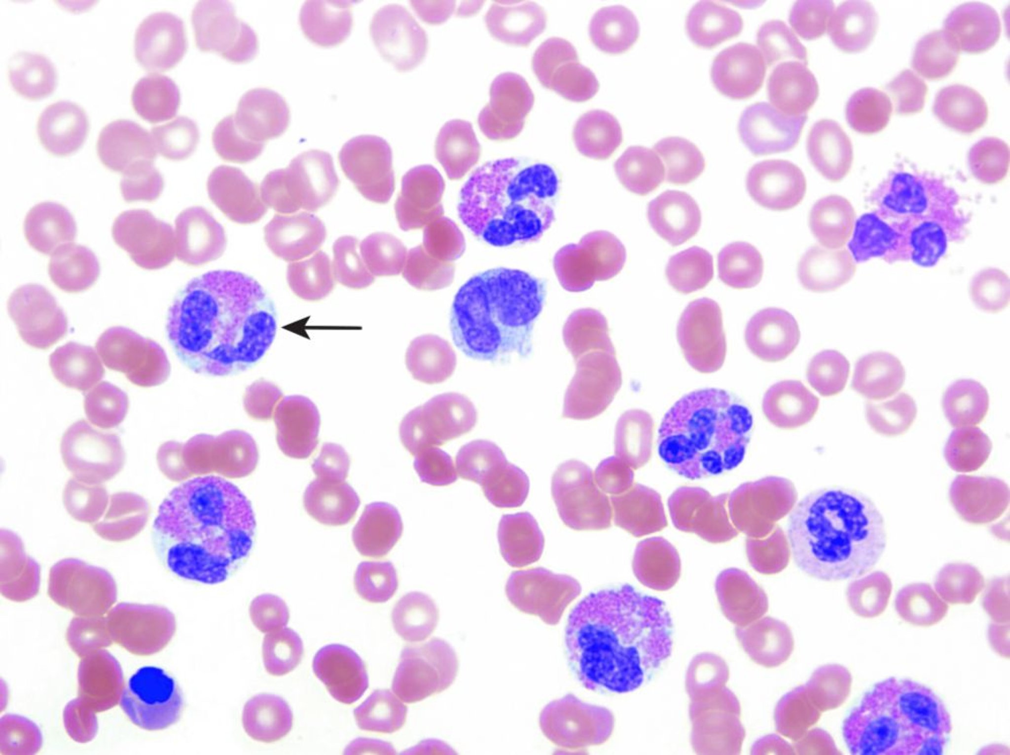
Эозинофилия (мазок периферической крови)
На этом изображении представлены эозинофилы (стрелка).
© Springer Science+Business Media
По этим темам
Эозинофилия
>